List of abbreviations
Vocabulary
of micros-
copic
anatomy
specialist terms
explained in
English +
German

Every attempt was made to provide correct information and labelling, however any liability for eventual errors or incompleteness is rejected!

dieser Seite

Editor:
Dr. med.
H. Jastrow


Conditions
of use
Overview endothelial cells (Endotheliocyti):
Pages with explanations are linked to the text below the images if available! (Labelling is in German)
arteriole (monkey) arteriole + blood cells
(monkey)
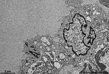
fenestrated capillary: Bruch's
membrane (monkey)
arteriole + plasma cells in
connective tissue (monkey)
lymphvessel
(monkey)
human umbilical artery, endo-
thelium + Weibel-Pallade body
detail: Weibel-Pallade
body (human)
human lymphocyte pene-
trating the wall of a venole
capillary X-section 1
 (monkey)
capillary X-section 2
 (monkey)
endothelial cell of a capillary
(human)
capillary of the heart
(monkey)
capillary of the nose
(monkey)
capillary of the trachea
(monkey)
capillary in brain, blood-
brain barrier (rat)
junctional complex in vas-
cular endothelium (monkey)
wall of a vein (monkey) venole x-section, endocrine
pancreas (monkey)
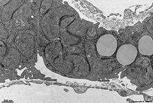
longitudinal section of a
monkey pancreas capillary
longitudinal section of the wall
of an arteriole (rat)
wall of a larger
arteriole (rat)
endothelial cell venole
human palatine tonsil
endothelial cell with phago-
cyted erythrocyte (monkey)
venole of the eyelid 1
 (monkey)
venole of the eyelid 2
 (monkey)
lymph vessel endothelium
 (monkey)
venole in the brain (rat) sinusoid of the liver, open
fenestrations in endothel (rat)
sinusoid overview x-section
(rat)
capillary + fenestrated endo-
thelium, suprarenal gland (rat)
thoracic duct (rat)
Endothelial cells (Terminologia histologica: Endotheliocyti) are cells that cover blood vessels. They are flat, squamous cells with few exceptions (high endothelial cells of venols of lymphatic organs e.g., lymph nodes but not the spleen). In arteries and arteriols they artificially appear columnar in normal preparations due to the fact that the high blood pressure typical for these vessels is no longer present when animals are sacrificed. In consequence the large elastic membranes of these vessels contract and press the endothelial cells up. Fenestrated endothelial cells ((Terminologia histologica: Endotheliocyti fenestrati) are exclusively encountered in capillaries. They show holes (= pores; Terminologia histologica: Fenestrae endotheliocyti, diameter 70 - 100 nm) whereas the non-fenestrated endothelial cells (Terminologia histologica: Endotheliocyti non fenestrati), effect a continious coverage of the vascular lumen. The fenestrae are open and very wide in sinusoids which also lack a basal lamina (sinusoids of liver and spleen). Other fenestrated endothelial cells with open fenestrae are present in the kidney. Other fenestrae are covered by ~ 4 nm thin proteinaceous membranes e.g., thyroid gland. Weibel-Pallade bodies (multitubular bodies; Terminologia histologica: Corpora multitubularia) are sometimes encountered in human endothelial cells. They lack in other species and resemble very tiny tubular mitochondria with a very dark matrix. There is an intake of substances via formation of caveols in non-fenestrated endothelial cells. The resulting small vesicles are transported over a short distance through the cytoplasm to be released on the opposite cell membrane. This transport is called cytopempsis or transcytosis and is best visible in capillary endothelial cells of heart or skeletal muscles.
Whereas endothelial cells of the aorta are somewhat polygonal the following smaller arteries mainly show elongate endothelial cells with a thickness of 2 to 4,5 µm in the nuclear area whereas their peripheral diameters are 0.25 - 1 µm. Widths of 10 to 20 µm and lengths of 20 - 40 µm are typical for arteries. The elongate shape of the cells is caused by the shearing stress of the blood stream. The surface of arterial endothelial cells is about 300 - 800 µm². The cytoplasm or arterial endothelial cells is of moderate electron density and contains contractile stress fibres which are rich in actin filaments and in about parallel orientation to the blood stream whereas endothelial cells of veins hardly show any stress fibres.

--> blood vessels: arteries, arteriols, capillaries, venols, veins; blood cells, blood barriers
--> Electron microscopic atlas Overview
--> Homepage of the workshop


Some images were kindly provided by Prof. H. Wartenberg; other images, page & copyright H. Jastrow.