List of abbreviations
Vocabulary
of micros-
copic
anatomy
specialist terms
explained in
English +
German

Every attempt was made to provide correct information and labelling, however any liability for eventual errors or incompleteness is rejected!

dieser Seite

Editor:
Dr. med.
H. Jastrow


Conditions
of use
Overview Meissner bodies (Corpuscula tactilia):
Pages with explanations are linked to the text below the images if available! (Labelling is in German)
All image are from human skin. An entire English version of this page is in preparation!
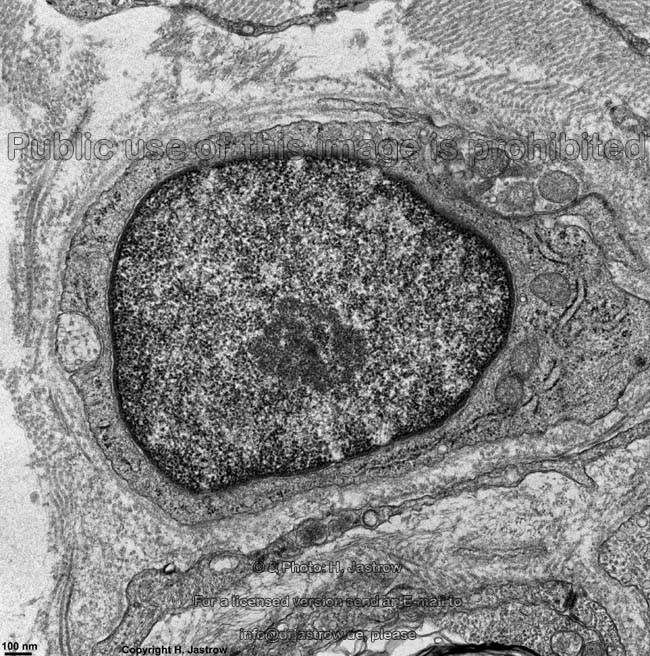
skin of the toe human Meissner
body overview
detail thereof further detail 1:
lateral region
further detail 2:
lower region
further detail 3:
nerve terminals
further detail 4:
central region
Schwann
cells 1
Schwann
cells 2
layers of flat cell
processes
detail of a Meiss-
ner's corpuscule
other central
detail
another
Schwann cell
detail thereof central fibre

In der Leistenhaut besonders der Fingerspitzen finden sich Meissnersche Tastkörperchen (Terminologia histologica: Corpuscula ovoidea; Corpuscula tactilia; englisch: Meissner's corpuscule). Meißnersche Körperchen sind Lamellenkörperchen ohne perineurale Kapsel, die z.B. im Stratum papillare der Leistenhaut (6 – 24 / mm²), der Mundhöhlenschleimhaut, der Stimmritze und im Bindegewebe des Anus vorkommen. Breite: 40 – 70 µm, Länge: 100 – 150 µm. Um die 1 - 7 schraubenförmigen marklosen Dendriten befinden sich als Lamellarzellen bezeichnete terminale Schwannsche Zellen mit mehreren abgeplatteten cytoplasmatischen Lamellen. Bei Druck werden die oberen und unteren Pole des Körperchen gegeneinander gedrückt und die Nerventerminalen gezerrt, wodurch Aktionspotentiale mit 10 – 400 Hz ausgelöst werden. Meißnersche Körperchen sind mittelschnell adaptierende Mechanorezeptoren.

--> Skin, nerve tissue, nerves, spinal ganglion, Schwann cells
--> Electron microscopic atlas Overview
--> Homepage of the workshop


Images, page & copyright H. Jastrow.