Abkürzungsliste
Vokabular
mikros-
kopische
Anatomie
Fachtermini
Deutsch
+ Englisch
erklärt

Alle publizierten Inhalte wurden eingehend geprüft, dennoch wird keine Haftung für Richtigkeit und Vollständigkeit der Angaben übernommen !
nur als

not available in English

Editor:
Dr. med.
H. Jastrow


Nutzungs-
bedingungen
Miniaturbildübersicht der dem Kurs der mikroskopischen Anatomie der Uni Mainz vom WAI für die
EM-Mappe ab dem SS 2008 zur Verfügung gestellten Aufnahmen:
Link zur Version mit Abbildungen in besserer Auflösung, die nur Studierenden und MitarbeiterInnen der J. Gutenberg-Universität Mainz zur Verfügung steht
Bezeichnete Abbildungen lassen sich durch Anklicken des Textes aufrufen!
Miniatur-
bild
Abb. (Quelle) AW2 (J) AW5 (J) BG1 (J) BG2 (J) BG3 (J) BG4 (J) BG5 (J)
Strukturen
Lunge: Alveole,
Pneumozyt Typ1
Lunge: Blut -
Luft Schranke
Plasmazelle
(Glandula parotidea)
menschliche Mastzelle
+ Fibrozyt (Subcutis)
univakuoläre Fettzelle
+ Mastzelle (Ratte)
Chondroblast
(Nasenseptum)
Osteozyt
BL1 (J) BL2 (J) BL3 (J) BL4 (J) BZ1 (J) BZ2 (J) BZ3 (J)
Großhirn: Kapillare mit
Endothelzelle
Arteriole im
Längsschnitt
fenestrierte Kapillaren
(Nebennierenrinde)
Ductus thoracicus
segmentkerniger
neutrophiler Granulozyt
eosinophiler + basophiler
Granulozyt (Milz)
Monozyt
BZ4 (J) BZ5 (J) EM1 (J) EM2 (J) GO1 (W) GO2 (J)
Lymphozyt
Thrombocyten
elastische + kollagene
Fasern (Leberhilus)
Sehne: Flügelzelle
Ductus epididymidis:
Spermium im Längsschnitt
Blut-Plazenta-Schranke
GO3 (J) H2 (J) H4 (J) H5 (J) HP1 (J) HP2 (J) LE1 (J) LE2 (J)
Ovar: Zona
pellucida
Haut: Keratinozyt,
Stachelzellschicht
Haut: Merkel-Zelle
im Stratum basale
Haut: Epithel
Schweißdrüse
Adenohypophyse
Neurohypophyse
Leber: Sinusoide mit
Kupffer-Zellen
Leber: Sinusoid, Ito-
und Kupffer-Zelle
LE3 (W) MA1 (J) MA2 (J) MA3 (J) MG1 (J) MG2 (J) MG3 (J)
Hepatozyt mit
Gallenkapillare
Magen: Hauptzellen im
mittleren Drüsenabschnitt
Belegzelle mit
Sekretkanälchen
Magen: entero-
endokrine Zelle
glatte Muskulatur
längs (Samenblase)
glatte Muskulatur:
Innervation
Herzmuskelzelle:
T-Tubuli, Myofibrillen
MG4 (J) NG1 (J) NG2 (J) NG3 (J) NG4 (W) NG5 (J) NG6 (J) NG7 (J)
Glanzstreifen zwischen
2 Herzmuskelzellen
nicht myelinisierte periphere
Nervenfasern (Colon)
myelinisierte Nervenfaser
mit Schwann-Zelle
Ranvier-
Schnürring
Myelinscheide mit
Mesaxonen
Synapse
(Cortex cerebri)
neuromuskuläre
Endplatte
Ganglienzelle mit
Nissl-Schollen
Ni1 (J) Ni2 (J) Ni3 (W) Ni4 (J) NN1 (J) OD1 (J) OD2 (J)
Epithelzelle der
Harnblase
Niere: Podozyt,
Filtrationsbarriere
Niere: proximale +
distale Tubuli, Gefäße
Niere: basale Streifung
(distaler Tubulus)
Nebenniere: Grenze
Rinde - Mark
Stereozilien
(Ductus epididymidis)
Kinozilien, Mikrovilli
(Tuba uterina)
OD3 (J) SD1 (J) SO1 (W) SO2 (J) SO3 (J) SO3a (J) SO4 (J) ZK1 (J)
Kinozilien quer
(Tuba uterina)
Schilddrüse:
Follikelepithel
Zunge: Geschmacksknopse
einer Wallpapille
Nase:
Riechschleimhaut
Corti-Organ im
Ductus cochlearis
Detail von SO3:
Corti-Organ
Retina: Stäbchen, Zapfen
Innen- & Außenglieder
Haftkomplex, terminales
Netz (Jejunum)
ZK2 (J) ZK3 (J) ZO1 (J) ZO2 (J) ZO3 (J) ZO4 (J)
Hemidesmosomen,
Basallamina (Haut)
Interdigitationen
(Pankreas: Schaltstück)
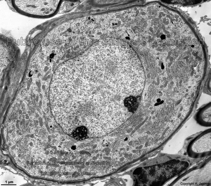
Zelle mit Kern, Nukleolus +
Organellen (Adenohypophyse)
Makrophage im Bindegewebe
(Magen)
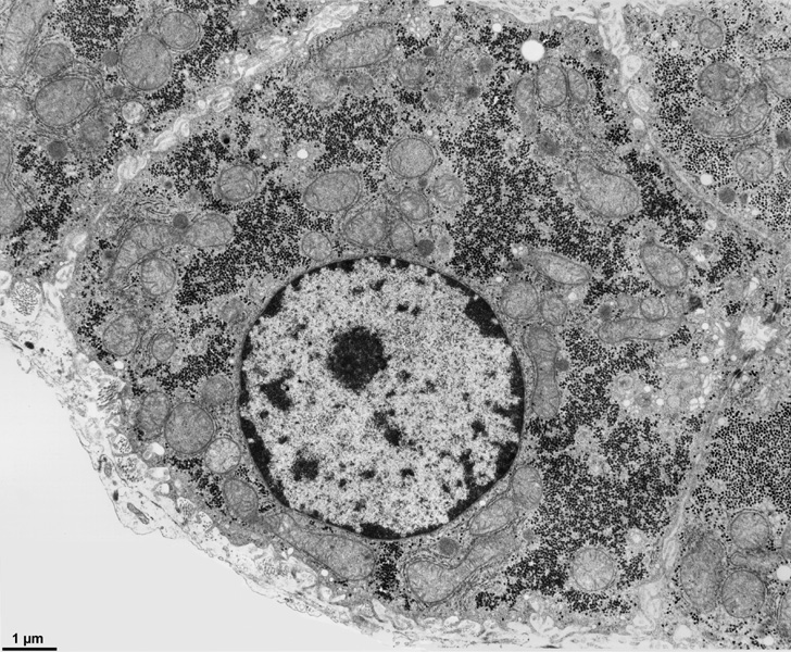
Organellen
(Adenohypophyse)
Organellen (Neben-
nierenrinde: Zona fasciculata)
--> Diese Bildübersicht zum Ausdrucken
--> Elektronenmikroskopischer Atlas Gesamtübersicht
--> Homepage des Workshops
Bildquellen: Prof. H. Wartenberg (W), Dr. H. Jastrow (J).
Seite & Copyright H. Jastrow.