List of abbreviations
Vocabulary
of micros-
copic
anatomy
specialist terms
explained in
English +
German

Every attempt was made to provide correct information and labelling, however any liability for eventual errors or incompleteness is rejected!

dieser Seite

Editor:
Dr. med.
H. Jastrow


Conditions
of use
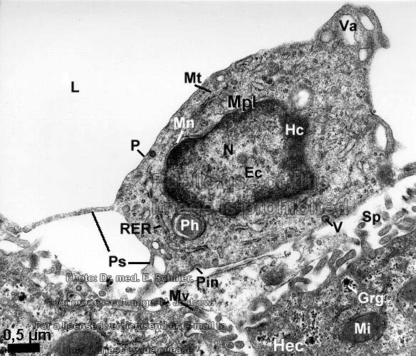
Kupffer cell in the lumen of a sinusoid of the liver (rat)
(for unlabelled original image click here, please!)

Ec = euchromatin; Grg = glycogen granules; Hc = heterochromatin; Hec = Hepatocytus (hepatocyte = liver cell);
L = lumen of the sinusoid (which is a special capillary); Mi = mitochondrion (of the crista-type); Mn = Membrana nuclearis (nuclear membrane);
Mpl = Macrophagocytus stellatus (Kupffer cell; belongs to the macrophages); Mt = microtubules;
Mv = microvilli (immobile processes of liver cells); N = Nucleus (nucleus); P = Plasmalemma (cell membrane);
Ph = phagolysosome; Pin = pinocytosis; Ps = Pseudopodia (pseudopods = mobile cell processes); RER = rough endoplasmic reticulum;
Sp = Spatium perisinusoideum (Disse's space); V = Clathrin-coated vesicle (endocytotic vesicle); Va = vacuole (belongs to L).

--> liver, macrophages, capillaries
--> Electron microscopic atlas Overview
--> Homepage of the workshop


This image was kindly provided by Dr. med. E. Schiller, page & copyright H. Jastrow.