List of abbreviations
Vocabulary
of micros-
copic
anatomy
specialist terms
explained in
English +
German

Every attempt was made to provide correct information and labelling, however any liability for eventual errors or incompleteness is rejected!

dieser Seite

Editor:
Dr. med.
H. Jastrow


Conditions
of use
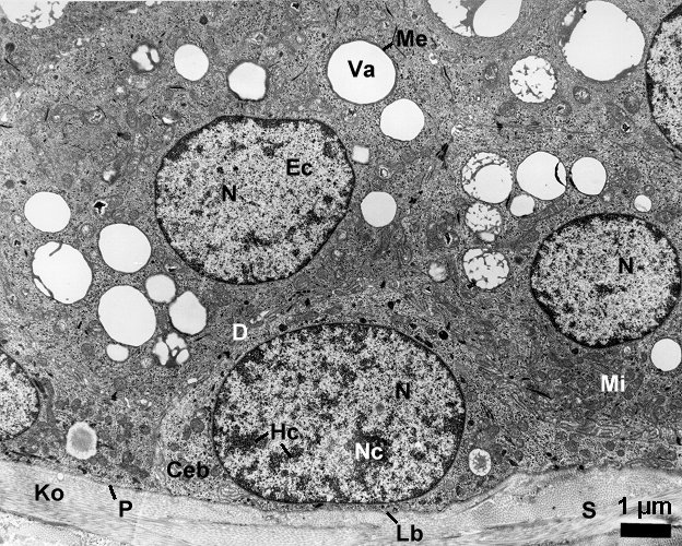
epithelial cells at the basal part of a sebaceous gland (monkey)
(for unlabelled original image click here, please!)

Ceb = basale Zelle; D = Digitationen (Verzahnungen zwischen 2 Zellen);
Ec = Euchromatin (Ort der Transcription); Hc = Heterochromatin;
Ko = Kollagenfasern; Lb = Basallamina (Lamina basalis);
Me = einfache Membran einer talghaltigen Vakuole; Mi = Mitochondrium (Cristatyp);
N = Nucleus (Zellkern); Nc = Nucleolus; P = Plasmalemma (Zellmembran);
S = Spatium extracellulare (Extrazellularraum mit Kollagenfasern und lockerem Bindegewebe);
Va = Vakuole enthält Talg (Sebum = Fetttropfen). Die basalen Zellen (Ceb) enthalten kaum talggefüllte Vakuolen.

--> sebaceous glands, glands, epithelium, lipid droplets
--> Electron microscopic atlas Overview
--> Homepage of the workshop


The image was kindly provided by Prof. H. Wartenberg, page & copyright H. Jastrow.