<
 = 
100% >  ^  °^° ? = ?
WAI
??? ! § ! Copyright H. Jastrow
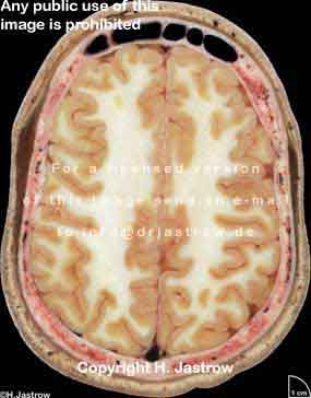
Visible Human male: Sectio transversalis 1058
CT

NMR

Pd T1 T2