<
 = 
100% >  ^  °^° ? = ?
WAI
??? ! § ! Copyright H. Jastrow
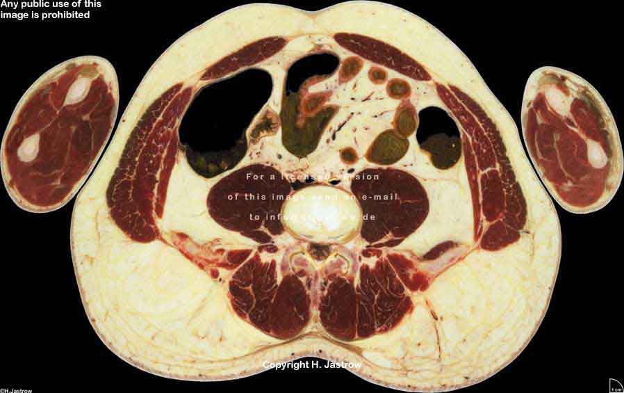
Visible Human male: Sectio transversalis 1733
CT
NMR
Pd                          / T2 \                         T1