Homo sapiens dissecatus
ein umfassender menschlicher Schnittbildatlas

Dr. H. Jastrow

Dieser Vortrag wurde gehalten am 25.3. auf dem "Visible Human Experience" - Abend zur Premiere des Films "Blue End" im Mal Seh'n Kino, Frankfurt am Main.

(Bitte klicken Sie die Bilder an um diese in höherer Auflösung zu betrachten!)
Abb.1 
Sehr geehrte Damen und Herren,

nach ein paar Informationen über das visible human Projekt stelle ich Ihnen den von mir aus den Daten des Projekts geschaffenen Atlas vor (Abb.1).
Das Visible Human Projekt wurde von der US-amerikanischen medizinischen Nationalbibliothek initiiert, wie auch auf seinem Logo erkennbar ist (Abb.2).

Abb.2 
Abb.3 
1991 erhielt die Universität des US Bundesstaates Colorado 1,4 Mio. US Dollar zur Verwirklichung des Projektes „sichtbarer Mensch“ (Abb.3). Das Ziel dabei war die Schaffung hochwertiger digitaler menschlicher Schnitte, die eine 3-dimensionale Veranschaulichung des normalen Aufbaus des menschlichen Körpers ermöglichen. Zugehörige radiologische Aufnahmen zeigen wie Strukturen von Röntgenbildern, Computertomographien und Kernspinresonanztomographien in Wirklichkeit aussehen. Die Originaldaten stehen der Öffentlichkeit zur Verfügung und umfassen für jedes Geschlecht je einen Datensatz. Von der Homepage des Projekts aus kann man informieren über einen Großteil dessen was für die medizinische Ausbildung aber auch für interessierte Laien geschaffen wurde.
Eines dieser Produkte ist der Homo sapiens dissecatus. Dieser Atlas beinhaltet das gesamte Bildmaterial des Mannes (Abb.4). Der zugehörige Originaldatensatz umfasst in komprimierter Form ca. 39 GB. Das sind 55 randvolle CDs. Hier sehen Sie technische Details dazu. Weitere finden Sie auf Ihrem Informationsblatt. Das faszinierende ist, dass alle Daten vom selben Individuum stammen, daher entsprechen z.B. die unten gezeigten radiologischen Bilder dem oben demonstrierten Schnitt durch das Gehirn.
Abb.4 
Abb.5 
Im Folgenden demonstriere ich Ihnen, wie der Atlas aus den Originaldaten geschaffen wurde. Nach Herunterladen und Entpacken sieht ein Originalschnitt durch den Kopf in Höhe der Nasennebenhöhlen so aus (Abb.5).
Die Schnitte wurden gemäß dem radiologischen Standard orientiert, das heißt man blickt von unten darauf (Abb.6).
Abb.6 
Abb.7 
Die Schnitte wurden zurechtgeschnitten (Abb.7). Dabei wurde die Originalauflösung erhalten.
Anschließend wurde der Hintergrund schwarz gestaltet (Abb.8).
Abb.8 
Abb.9 
Die blaue Füllmasse in Hohlräumen, hier den Nasenebenhöhlen, wurde ausradiert (Abb.9).
Dies geschah mit einem Kopierpinsel wobei Bildinformationen benachbarter oder entsprechender Areale verwendet wurde. Die akkurate digitale Säuberung der Schnitte war der arbeitsaufwendigste Schritt (Abb.10).
Abb.10 
Abb.11 
Zum Schluß wurden die Farben der Schnitte aufeinander abgestimmt und so korrigiert, daß sie möglichst natürlich erscheinen (Abb.11).
Am Beispiel des Beckens zeige ich Ihnen die Rekonstruktion größerer zerstörter Schnitteile (Abb.12). Wir betrachten nun die markierte Region.
Abb.12 
Abb.13 
Zunächst wurde der Hintergrund von den benachbarten Schnitten kopiert, wo er erhalten war. Dann wurden die fehlenden Anschnitte des Darms mit umgebendem Fett entlang der Ränder kopiert. Dies geschah in kleinen Schritten, denn die Quelle war größer als das zu füllende Areal. Dabei wurde auch die Stärke von Veränderungen auf vorangehenden Schnitten berücksichtigt (Abb.13).
Die Liste in Abb.14 zeigt, welche Teile der Originaldaten rekonstruiert wurden, um einen tatsächlich vollständigen Atlas zu erhalten. Natürlich kann auch die sorgfältigste Rekonstruktion nicht das exakt wiederherstellen, was beim Schneiden zerstört wurde.
Abb.14 
Abb.15 
Die Computertomografien und Kernspinbilder wurden ebenfalls von Artefakten gereinigt und für die Ansicht auf einem normalen Computer aufbereitet. Alle anatomischen Schnittebenen wurden errechnet (Abb.15).
Abb.16 zeigt die Indexseite des Atlasses. Die beiden oberen Icons führen zu den Nutzungsbedingungen und einer Anleitung. Die gezeigten Miniaturbilder repräsentieren eine Folge von Schnitten deren Nummer darunter angegeben ist. Sie sind mit Schnittübersichtsseiten verknüpft. Weiter unten ist die Orientierung erklärt. Kleine Symbole führen zu der Filmübersichtsseite zu einem Vokabular, welches die bei der Beschriftung verwendeten Fachtermini erklärt. Über ein weiteres Icon lassen sich die Röntgenbilder aufrufen.
Abb.16
Abb.17 
Die Informationsübersichtsseite  (Abb.17) führt zu Anleitungen in 4 verschiedenen Sprachen. Wenn Sie Deutsch anklicken wird die in Abb.18 gezeigte Seite geladen.
Die hier verknüpften Informationsseiten erklären die Navigation und den Umgang mit den unterschiedlichen Seiten des Atlasses.
Abb.18 
Abb.19 
Abb.19 erklärt das Layout und die Symbole der Navigationsleiste. Neben einer Beispielseite sehen Sie diese in Vergrößerung. Sie wurde entworfen um eine einfache sprachunabhängige Navigation zu ermöglichen. Nun demonstriere ich ihnen den Umgang mit dem Atlas.
Wenn wir die wichtigste Hormondrüse des Körpers, die Zwischenhirndrüse betrachten wollen, klicken wir das zweite Miniaturbild der Indexseite an (Abb.20).
Abb.20 
Abb.21 
Es wird die in Abb.21 gezeigte Übersichtsseite geladen. Die Drüse ist auf den hervorgehobenen Schnitten zu erkennen. Wenn wir auf das markierte Miniaturbild klicken, erscheint die Seite mit dem digitalisierten Schnitt und den zugehörigen CT und NMR Aufnahmen (Abb.22). Um mehr erkennen zu können, klicken wir den 100% Knopf an. Abb.22 
Abb.23 
Damit sie die tatsächliche Auflösung des Bildes sehen können, ist in Abb. 23 nur ein Ausschnitt zu sehen.
Die in Abb.24 ablaufende Animation zeigt Ihnen benachbarte Schnitte des Schädels. Sie ist ein Beispiel für Animationen in sehr hoher Auflösung, die ich bei Bedarf erzeugen kann. Die Animationen des Atlasses sind wegen der enormen Dateigröße etwas kleiner.
Abb.24 
Die Auflösung des Films ist hier drastisch reduziert. Die gezeigte Animation hatte eine Größe von 768 MB!
Abb.25 
Momentan sind 221 sehr detailliert beschriftete Schnitte im Atlas integriert. Einige der Bilder waren jedoch zu klein, um alle Bezeichnungen anzubringen  (Abb.25). In diesen Fällen wurden zusätzliche bezeichnete Detailseiten erstellt.
Abb.20 ist ein Beispiel für eine solche Detailseite. Sie zeigt die zentrale Region des vorangehenden Schnittes mit wichtigen Strukturen des Mittelhirns.
Abb.26 
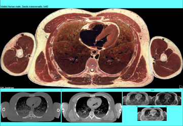
Abb.27 
In Abb.27 sehen Sie eine Seite des Brustraums mit den zugehörigen CT und NMR Abbildungen. Man erkennt die beiden Herzkammern, den rechten Vorhof und die Lungen, die Wirbelsäule, Rippen und Muskeln der Oberarme.
Abb.28 zeigt eine Seite mit einem Schnitt durch den Bauchraum mit Leber, Nieren, Milz und der Bauchspeicheldrüse.
Abb.28 
Abb.29 
Beachten Sie, daß an dem in Abb.29 gezeigten, beschrifteten Schnitt 120 Bezeichnungen angebracht sind. Damit die Übersicht dennoch erhalten bleibt, kreuzen keine Linien.
Das verknüpfte Vokabular der Anatomie gestattet es über 850 Fachausdrücke in Deutsch und Englisch nachzuschlagen. Die Übersichtsseite (Abb.30) zeigt, daß es sowohl thematisch als auch alphabetisch geordnet ist.
Abb.30 
Abb.31 
Auf der Übersichtsseite der Animationen sind deren verschiedene Arten aufgelistet (Abb.31). Ein Ausschnitt von einer der verknüpften Detailübersichtsseiten ist unten gezeigt. Momentan sind 217 verschiedene Animationen im Atlas enthalten. Wenn Sie h i e r  klicken können Sie eine Animation durch das Herz betrachten.
Im Internet können Sie sich ausgehend von der unten in Abb.32 angegebenen URL kostenfrei eine deutlich abgespeckte Version des Atlasses betrachten. Die wesentlichen Unterschiede sind die geringeren Auflösungen und Qualitäten von Bildern und Animationen. Ein Großteil der Filme und Röntgenbilder sind nur in der professionellen Version vorhanden.
Abb.32 
Abb.33 
Der Atlas will ein nützliches Referenzwerk in der medizinischen Ausbildung sein (Abb.33). Er ermöglicht eine visuelle Reise durch den gesamten menschlichen Körper in höchstmöglicher Auflösung. Er hilft beim 3-dimensionalen Verständnis von Strukturen und Organen und deren Lagebeziehungen zueinander. Weit mehr als nur alle wesentlichen Strukturen sind gemäß der offiziellen Nomenklatur bezeichnet. Die Anatomie kann direkt mit der Radiologie verglichen werden.
In Abb.34 sehen Sie wem der Atlas nützen kann. Das Material ist zum Lehren und Lernen in allen Fächern geeignet, bei denen die Anatomie eine Rolle spielt. Das Spektrum reicht von der universitären Facharztausbildung über die Schulung in medizinischen Berufen bis hin zu jedem, der am Bau des Menschen interessiert ist.
Abb.34 
Abb.35 
Abb.35 und 36 zeigen einige Beispiele, wie man das Material des Atlasses zu Studium und Lehre vom Aufbau des Körpers nutzen kann. Dank der hohen Qualität ist es eine wertvolle Hilfe für Schüler und Lehrer, Studierende und Dozenten in medizinischen Berufen, Ärzte und Hochschullehrer. Sogar als Referenz für wissenschaftliche Untersuchungen ist es schon verwendet worden.
Das Vokabular erklärt die nach der aktuellen Nomenklatur erfolgten Bezeichnungen von Schnitten. Dadurch kann auch der Unerfahrene diese verstehen. Durch die Animationen kann jeder sich ein dreidimensionales Bild vom menschlichen Körper machen. Beim Verständnis von CT bzw. NMR Aufnahmen von Patienten sind die Darstellungen neben den zugehörigen Schnitten hilfreich. Kurz der Atlas ist eine hochwertige Bildquelle für viele Zwecke.
Abb.36 
Abb.37 
Anhand der in Abb.37 dargestellten Auflistung dessen, was der Homo sapiens dissecatus zu bieten hat, wird deutlich, daß es sich hierbei um den wohl umfassendsten Atlas der menschlichen Schnittbildanatomie handelt. Ähnlich detaillierte Beschriftung ist, wenn überhaupt, nur in Englisch und nur in wenigen CDs oder Büchern zu finden. Die aufgelisteten Punkte zeigen, inwiefern der Atlas ein einzigartiges Konzept darstellt anatomische Schnitte zu präsentieren.
Obwohl der Atlas schon fertig ist, ist ein weiterer Ausbau in Planung. In Abb.38 sehen Sie was dabei vorgesehen ist.
Abb.38 
I
Abb.39 
Mit der Zusammenfassung in Abb.39 möchte ich Sie einladen die Internetversion des Homo sapiens dissecatus zu erkunden. Ferner danke ich allen sehr herzlich, die die Schaffung dieses einzigartigen Atlasses ermöglicht und bei der Arbeit mitgeholfen haben und auch Ihnen für Ihre Aufmerksamkeit. Wenn Sie interessiert an dem Produkt sind, wenden Sie sich bitte an
PD Dr. med. H. Jastrow,
Facharzt für Anatomie
Kotthaushang 22, 45239 Essen,
Email: info@drjastrow.de; Internet: http://www.drjastrow.de
Tel.: 0201 4749893
--> Informationen zur professionellen Version
--> Homepage von Dr. Jastrow
--> Workshop Anatomie fürs Internet Homepage
--> Impressum - Datenschutzerklärung