Abkürzungsliste
Vokabular
mikros-
kopische
Anatomie
Fachtermini
Deutsch
+ Englisch
erklärt

Alle publizierten Inhalte wurden eingehend geprüft, dennoch wird keine Haftung für Richtigkeit und Vollständigkeit der Angaben übernommen !

of this page

Editor:
Dr. med.
H. Jastrow


Nutzungs-
bedingungen
Miniaturbildübersicht Krummdarm (Ileum):
Bereits bezeichnete Abbildungen lassen sich durch Anklicken des Textes aufrufen!
Epithelzellen
(Enterocyten, Ratte) 
Zottenspitze
(Ratte)
Bürstensaum und
terminales Netz (Ratte)
Basis einer Krypte
 (Ratte)
Detail: Panethsche
Körner-Zellen (Ratte)
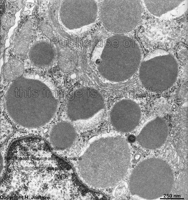
Lysozym-haltige
Vesikel (Ratte)
idem Detail (Ratte)
Kern mit Poren
(Enterocyt, Ratte)
eosinophiler Granulo-
cyt im Epithel (Ratte)
Detail davon:
eosinophiler Granulocyt
Telophase einer Mitose
eines Enterocyten (Schwein)
Detail davon: Neu-
bildung der Kerns
Mitose einer Epi-
thelzelle (Schwein)
Mikrovilli mit
Verankerung 1 (Affe)
Mikrovilli mit
Verankerung 2 (Affe)
Mikrovilli mit
Verankerung 3 (Affe)
Mikrovilli längs
mit Glykokalix (Affe)

--> Tabelle der enteroendokrinen Zellen
--> Jejunum, Colon, Mikrovilli, Sekretvesikel, Epithel, Mitose
--> Elektronenmikroskopischer Atlas Gesamtübersicht
--> Homepage des Workshops


Vier Bilder wurden von Prof. H. Wartenberg zur Verfügung gestellt, übrige Aufnahmen, Seite & Copyright H. Jastrow.