Abkürzungsliste
Vokabular
mikros-
kopische
Anatomie
Fachtermini
Deutsch
+ Englisch
erklärt

Alle publizierten Inhalte wurden eingehend geprüft, dennoch wird keine Haftung für Richtigkeit und Vollständigkeit der Angaben übernommen !

of this page

Editor:
Dr. med.
H. Jastrow


Nutzungs-
bedingungen
Epithelgewebe (Textus epithelialis):
Bereits bezeichnete Abbildungen lassen sich durch Anklicken des Textes aufrufen!
einschichtiges Plattenepithel
(Endothel Kapillare, Ratte)
einschichtiges PE (Endothel-
zelle, Kapillare Herz, Affe)
einschichtiges PE
(Pneumocyt 1 Ratte)
einschichtiges PE (Niere,
Henle Schleife, Affe)
einschichtiges Follikel-
epithel, Ovar (Ratte)
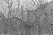
Sinnesepithel, Corti-Organ
(Innenohr, Meerschweinchen)
Sinnesepithelzelle mit
Stereozilien (Corti-Organ)
einschichtig
hochprismatisches
Epithel (Kolon, Ratte)
Detail: Mikrovilli + Gly-
kokalyx, Kolonozyt
einschichtig hochprismatisches
Epithel fast ohne Mikrovilli
(Gallenblase, Affe)
einschichtig hochprismat.
Epithel ohne Mikrovilli
Samenblase (Ratte)
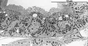
einschichtig hochprismatisches
Epithel mit Kinozilien
+ Mikrovilli (Eileiter, Ratte)
einschichtig hochprismatisches
Epithel mit Kinozilien
Bronchus (Ratte)
kubische Mikrovilli tragende Epithelzellen
im proximalen Nierentubulus (Affe)
kubische Epithelzelle (Niere
distales Konvolut, Affe)
kubische Gallengangs-
epithelzellen, Leber, Affe)
kubisches Pigmentepithel
(Retina, Affe)
kubisches Pigment-
epithel (Retina, Mensch)
kubischer Hepatocyt
(Leber, Affe)
Urothel im
Harnleiter (Schwein)
Detail: mehrschichtiges Übergangsepi-
thel etwas gedehnt mit kubischen Zellen 
Detail: isoprisma-
tische Deckzelle
mehrschichtig verhorntes
Plattenepithel (Haut, Ratte)
mehrschichtig unverhorntes Plattenepithel
(PE) der Vagina (Schwein)
ebensolches PE
(Oesophagus, Ratte)
zwei - mehrreihiges hochprismatisches Epithel
im blasennahen Abschnitt des Ductus deferens (Affe)
Detail davon: spärliche 
Mikrovilli auf der Oberfläche
Keimepithel eines Tubulus semi-
niferus contortus (Hoden, Ratte)
Detail davon: Blut
Hoden-Schranke (Ratte)
hochprismatisches Epithel mit Ste-
reozilien Ductus epididymidis (Affe)
Definition: Epithelgewebe (Terminologia histologica: Textus epithelialis; englisch: epithelial tissue) bestehen aus einem engen Zellverband ohne erkennbare Zwischenzellsubstanz (Interzellularsubstanz). Die meisten Epithelien bedecken die inneren oder äußeren Oberflächen von Organen oder bilden Drüsen aus. Ursprünglich leitet sich der Begriff Epithel ab von epi (griechisch auf) und thele (griechisch Brustwarze).
In der Regel sind Epithelien (Terminologia histologica: Epithelia; englisch: epithelia) über eine Basallamina zu umgebenden Geweben abgegrenzt (Ausnahmen: Sinusoide in Leber und Milz, Endothelzellen am "blinden" Beginn von Lymphkapillaren und Leberepithelzellen). Ihre Zellen sind meist über Zell-Zellkontakte miteinander verbunden und bilden Grenzen zu umliegenden Geweben oder Räumen.
Ursprung: Epithelien können aus allen drei Keimblättern hervorgehen, dabei leitet sich das Oberflächen und das meiste Epithel der exokrinen Drüsen aus dem äußeren Keimblatt (Ektoderm), das Mesothel und Gefäßendothel vom mittleren Keimblatt (Mesodern) und das Epithel des Rumpfdarrms sowie der unteren Atemwege von inneren Keimblatt (Entoderm) ab.
Einteilung und Vorkommen der Epithelien:
Das Aussehen der obersten Zellschicht und die Zahl der Schichten sowie die Lage der Zellkerne entscheidet über die genaue Benennung.
Epithelien kann man weiter unterteilen in
1. Oberflächenepithel (Terminologia histologica: Epithelium superficiale; englisch: surface epithelium); dieses bedeckt die Körperoberfläche, wobei die Haut den größten Teil ausmacht, bildet die Schleimhaut (Mucosa), welche mit schützendem Schleim überzogen ist und die luftleitenden Wege bis in die Alveolargänge der Lunge oder die Speisewege also den gesamten Magen-Darm Trakt auskleidet. Außerdem liegt Oberflächenepithel auch im Innenraum weiter Hohlorgane (z.B. der Gallenblase oder Harnblase) und bildet das Mesothel, welches das Innere der Körperhöhlen bedeckt (Brusthöhle, diese wird vom einschichtigen Plattenepithel der Pleura ausgekleidet; bzw. Bauchhöhle, diese wird vom einschichtigen Plattenepithel des Bauchfells = Peritoneum überzogen oder Herzbeutel, der von ebenfalls einschichtigen Plattenepithel des Perikards ). Oberflächenepithelien bilden Diffusionsbarrieren aus. Sa bedeutet sie erschweren bis verhindern den Übertritt von Stoffen von einem Hohlraum = Lumen in das unter dem Epithel liegende Gewebe (subepithelialer Raum).
2. Drüsenepithel (Terminologia histologica: Epithelium glandulare; englisch: glandular epithelium) bildet Sekrete a. in den Endstücken von exokrinen Drüsen, die ihr Sekret über ein Gangsystem abgeben oder b. in einem von Kapillaren durchzogenen Zellverband bei endokrinen Drüsen, deren Sekret an die Kapillaren und damit ins Blut abgegeben wird.
3. Gangepithel der Sekret ableitenden Gänge exokriner Drüsen.
4. Sinnesepithel (Terminologia histologica: Epithelium sensorium; englisch: sensory epithelium) besteht aus Rezeptorzellen, die Sinnesreize aufnehmen und verarbeiten, sowie oft weiteren Zellen (z.B. Stützzellen).
5. Keimepithel (Terminologia histologica: Epithelium germinativum; englisch: germinal epithelium) bildet die der Fortpflanzung dienenden Zellen im Ovar bzw. Hoden.
Man kann auch noch Exoepithelien, die mit der Außenwelt in Verbindung stehen (sei es direkt oder über Gangsysteme wie im Atem- oder Verdauungstrakt) und Endoepithelien unterscheiden, welche nur im Körperinneren vorliegen wie z.B. das Endothel in Blut- oder Lymphgefäßen). Nur die Exoepithelien besitzen Zytokeratinfilamente (ein Typ der Intermediärfilamente) vom Typ 8 und 18.
Anklicken der unterstrichenen Begriffe führt zu Bildübersichten oder Abbildungen; Th = Terminologia histologica
einschichtig mehrreihig mehrschichtig
alle Zellen liegen nur nebeneinander alle Zellen haben Kontakt zur Basallamina, erreichen aber nicht alle
die Oberfläche, Zellkerne liegen in mehreren Reihen übereinander
Zellen liegen in mehreren Schichten übereinander, die ober-
flächlichen Zellen haben KEINEN Kontakt zur Basallamina
platt
(Th: Epithelium simplex squamosum
englisch: simple squamous epithelium)
(flache Zellen, die breiter als hoch sind)
- Rete testis
- Gefäßendothel
- Alveolarepithel
- Niere: Bowmannsche Kapsel
- Niere: intermediärer Tubulus
- hinteres Cornealendothel am Auge
- Paukenhöhlenschleimhaut
- Innenseite des Trommelfells
- Schaltstücke in Speicheldrüsen
- Ovar: Primärfollikelepithel
als Mesothel:
(Th: Mesothelium; englisch: mesothelium)
- Peritoneum (viscerale & parietale)
- Endokard
- Perikard
- Pleura (visceralis & parietalis)
  platt
verhornt
(Th: Epithelium stratificatum squamosum cornificatum
englisch: keratinized stratified squamous epithelium)
- Epidermis
- äußerer Gehörgang
- Vestibulum nasi
- Introitus vaginae
- Papillae filiformes
unverhornt
(Th: Epithelium stratificatum squamosum non cornificatum
englisch: nonkeratinized stratified squamous epithelium)
- Mundhöhle
- Pharynx
- Oesophagus
- Anus
- Vagina
- vorderes Cornealepithel
- weibliche Urethra (Endabschnitt)
- Gingiva
- männliche Urethra (Fossa navicularis)
isoprismatisch
(Th: Epithelium simplex cuboideum
englisch: simple cuboidal epithelium)
(würfelförmige Zellen, gleich breit wie hoch sind)
- Amnionepithel
- Plexus choroideus
- cortikale Abschnitte der Nierenkanälchen
- kleine Gallengänge
- Pigmentepithel der Retina
- Schilddrüse (funktionsabhängig)
- Leber
- Nebenschilddrüse
- Nebenniere
- Follikelepithel
- Chorionzotten der Plazenta
- Auge: äußeres Linsenepithel
  isoprismatisch
(Th: Epithelium stratificatum cuboideum
englisch: stratified cuboidal epithelium)
nur als zweischichtig isoprismatisches Epithel
- Ausführungsgänge von Schweißdrüsen
- Epithel des Ziliarkörpers
- Hauptausführungsgänge der Mundspeicheldrüsen
Übergangsepithel
(Th: Epithelium transitionale, Urothelium
englisch: transitional epithelium, urothelium)
(Besonderheit: die Form der obersten Zellen = Deckzellen kann
abhängig von Füllungsdruck flach bis hochprismatisch sein)
- Nierenbecken
- Nierenkelche
- Ureter
- Harnblase
- Beginn der Urethra
hochprismatisch
(Th: Epithelium simplex columnare
englisch: simple columnar epithelium)
(säulenförmige Zellen, höher sind als sie breit sind)
ohne besondere Oberflächendifferenzierung
- Speicheldrüsen
- Samenblase
- Niere: Sammelrohre im Markbereich
- Niere: Ductus papillaris
- Ductus hepaticus
- schleimbildende Zellen des Magens
- Auge: inneres Linsenepithel
mit Kinozilien
- Tuba uterina
- Bronchiolen
mit Mikrovilli
- Enterozyten des Darms
- Gallenblase (wenige Mikrovilli)
- Uterus
hochprismatisches zwei- bis mehrreihiges
(Th: Epithelium pseudostratificatum columnare
englisch: pseudostratified columnar epithelium)
zweireihig hochprismatisch
- Ductus nasolacrimalis
- Tuba auditiva
- Ausführungsgänge großer Speicheldrüsen
mit Stereozilien
- Ductus epididymidis
- Beginn des Ductus deferens
mehrreihig hochprismatisch
ohne Zilien
- Ende des Ductus deferens
mit Kinozilien (Flimmerepithel)
- Regio respiratoria nasi
- Nasennebenhöhlen
- laryngeale Seite der Epiglottis
- nasale Seite des weichen Gaumens
- oberer Epipharynx
- Kehlkopf
- Trachea
- Bronchien
- Bronchiolen
- Hoden: Ductuli efferentes
mit Stereozilien
- Mittelteil des Ductus deferens
- äußere und innere Haarzellen
- Zellen der Macula- und Crista-Sinnesepithelien
hochprismatisch
(Th: Epithelium stratificatum columnare
englisch: stratified columnar epithelium)
- Ductus parotideus
- Fornix conjunctivae
- Caruncula lacrimalis
- weibliche Urethra (mittlerer Teil)
Bereiche der Epithelzellen (Terminologia histologica: Epitheliocyti; englisch: epithelial cells):
Epithelzellen sind polar, d.h. ihre zur Basalmembran orientierte Unterfläche (Terminologia histologica: Basis cellularis, Polus basalis; englisch: cell base, basal pole) ist anders aufgebaut und zeigt andere Oberflächenproteine in der Zellmembran als die meist zu einem Lumen hin orientierte Oberfläche (Terminologia histologica: Facies luminalis; englisch: luminal surface, luminal aspect), die zumeist mit obersten Spitze der Zelle (Terminologia histologica: Apex cellularis, Polus apicalis; englisch: cell apex, apical pole) bzw. der davon gebildeten Oberfläche (Terminologia histologica: Facies apicalis; englisch: apical surface, apical aspect) identisch ist. Der Bereich zur Unterfläche hin wird analog dazu auch als (Terminologia histologica: Facies basalis; englisch: basal surface, basal aspect) bezeichnet. Die zu den Seiten hin orientierten Oberflächen der Zellen werden nach der Terminologia histologica: Facies lateralis; englisch: lateral surface, lateral aspect genannt. In den meisten Fällen ist der obere Teil dieser Fläche mit Schlußleisten ausgestattet, die für den Zusammenhalt zwischen den Epithelzellen wichtig sind. Der Raum zwischen den Epithelzellen wird als Interzellularraum bezeichnet und ist zumeist für parazelluläre, d.h. an den Zellen vorbei führende, Transportvorgänge von Wasser und kleinen Molekülen von unterhalb der Zellen in z.B. ein Lumen, wesentlich. Der basolaterale (untere seitliche Bereich; Terminologia histologica: Facies basolateralis; englisch: basilateral surface, basilateral aspect) ist zumeist wieder mit anderen Zellmembranproteinen ausgestattet, wobei hier insbesondere spezielle Ionentransporter in vielen Epithelien vorkommen, die Ionen oder andere Substanzen in den seitlich unteren Bereich (Terminologia histologica: Spatium basolaterale; englisch: basilateral space) bringen.
allgemeine Typen von Epithelzellen:
Nach ihrem Aussehen, bzw. ihrer Gesamtform, ihrer Funktion und der Beschaffenheit ihrer Oberfläche kann man unterschiedliche allgemeine Formen von Epithelzellen unterscheiden.
Aussehen: säulenförmige = hochprismatische Zellen (Terminologia histologica: Epitheliocyti columnares; englisch: columnar epithelial cells); würfelförmige = isoprismatische (Terminologia histologica: Epitheliocyti cuboidei; englisch: cuboidal epithelial cells); die beiden vorgenannten Arten werden auch als prismatische (rechteckige) Zellen zusammengefaßt (Terminologia histologica: Epitheliocyti prismatici; englisch: prismatic epithelial cells) und gegen die platten Epithelzellen (Terminologia histologica: Epitheliocyti squamosi; englisch: squamous epithelial cells) sowie die pyramidenförmigen (Terminologia histologica: Epitheliocyti pyramidales; englisch: pyramidal epithelial cells, wedge-shaped epithelial cells) abgegrenzt.
Funktion: Sinnesepithelzellen = neurosensorische Zellen (Terminologia histologica: Epitheliocyti neurosensorii; englisch: neurosensory epithelial cells), andere "wahrnehmende" Zellen (Terminologia histologica: Epitheliocyti sensorii; englisch: sensory epithelial cells), Zellen, die Farbpigmente enthalten (Terminologia histologica: Epitheliocyti pigmentosi; englisch: pigmented epithelial cells). Sekrete bildende Epithelzellen (Terminologia histologica: Epitheliocyti secretorii; englisch: secretory epithelial cells) werden weiter differenziert in solche deren Sekrete zumeist über Blutkapillaren als Hormone andernorts im Körper wirken = endokrine Zellen (Terminologia histologica: Endocrinocyti; englisch: endocrine cells) oder exokrine = exkretorische Epithelzellen (Terminologia histologica: Exocrinocyti; englisch: exocrine cells) dagegen leiten ihr Sekret über Ausführungsgänge auf eine Schleimhaut, die Haut oder in ein Lumen (z.B. den Darm) weiter. Außerdem gibt es noch polykrine Zellen (Terminologia histologica: Polycrinocyti; englisch: polycrine cells) wie z.B. Leberzellen, die sowohl endokrine als auch exokrine Sekrete produzieren. Nach der Beschaffenheit des Sekretes kann man diese exokrinen Zellen noch weiter differenzieren in solche, die wäßriges dünnflüssiges Sekret bilden und seröseDrüsenepithelzellen  (Terminologia histologica: Serocyti; englisch: serous cells) heißen, solche, die ein visköses, zähes Sekret bilden und muköse Drüsenepithelzellen (Terminologia histologica: Mucocyti; englisch: mucous cells) heißen und seromuköse Drüsenepithelzellen (Terminologia histologica: Seromucocyti; englisch: seromucous cells), deren Sekret von seinen Eigenschaften dazwischen liegt.
Beschaffenheit der Oberfläche: Zellen, die mit beweglichen Kinozilien ausgestattet sind, heißen nach der Terminologia histologica Epitheliocyti ciliati (englisch: ciliated epithelial cells). Solche, die unbewegliche sehr lange Fortsätze = Stereozilien tragen (Terminologia histologica: Epitheliocyti stereociliati; englisch: epithelial cells with stereocilia) und andere, die viele kürzere oft in Bürstensäumen geordnete Zellmembranausstülpungen (= Mikrovilli) zeigen (Terminologia histologica: Epitheliocyti microvillosi; englisch: epithelial cells with microvilli).
Lage: nur im mehrreihigen Epithel (Terminologia histologica: Epithelium pseudostratificatum columnare; englisch: pseudostratified columnar epithelium) unterscheidet man die basalen Zellen (Terminologia histologica: Epitheliocyti basales; englisch: basal epithelial cells), die die Oberfläche nicht erreichen, von denen die ans Lumen heranreichen (Terminologia histologica: Epitheliocyti adluminales; englisch: adluminal epithelial cells) und denen, die dazwischen liegen (Kerne weder in oberster noch unterster Reihe; Terminologia histologica: Epitheliocyti intercalati; englisch: intercalated epithelial cells). Spezielle Arten von Epithelzellen, die nur an bestimmten Orten vorkommen sind die Endothelzellen der Blut- oder Lymphgefäße (Terminologia histologica: Endotheliocyti; englisch: endothelial cells) und die im Mesothel von Lungen-, Rippen- oder Bauchfell vorkommendem, oder den Herzbeutel auskleidende Mesothelzellen (Terminologia histologica: Mesotheliocyti; englisch: mesothelial cells). Mesothel ist ein besonderes einschichtigesPlattenepithel.

--> Drüsen, Endothelzellen, Zell-Zellkontakte, Interzellularraum
--> andere Grundgewebsarten: Bindegewebe, Muskelgewebe, Nervengewebe
--> Elektronenmikroskopischer Atlas Gesamtübersicht
--> Homepage des Workshops


Einige Bilder wurden freundlicherweise von Prof. H. Wartenberg zur Verfügung gestellt, übrige Bilder, Seite & Copyright H. Jastrow.