Abkürzungsliste
Vokabular
mikros-
kopische
Anatomie
Fachtermini
Deutsch
+ Englisch
erklärt

Alle publizierten Inhalte wurden eingehend geprüft, dennoch wird keine Haftung für Richtigkeit und Vollständigkeit der Angaben übernommen !

of this page

Editor:
Dr. med.
H. Jastrow


Nutzungs-
bedingungen
Miniaturbildübersicht Multilamelläre Körperchen (MLK; Corpuscula lamellaria):
Bereits bezeichnete Abbildungen lassen sich durch Anklicken des Textes aufrufen!
Alveolarepithelzelle Typ II mit
MLK und Surfactant (Ratte)
Multilamelläre Körper-
chen Alveolarzelle II (Ratte)
Multivesikuläre und
-lamelläre Körperchen (Ratte)
Alveolarepithelzelle Typ II
mit MLK (Ratte)
Alveolarepithelzelle Typ II
mit MLK (Ratte)
Alveolarepithelzelle Typ II
 mit MLK (Ratte)
idem Detail
(Ratte)
anderes Detail
(Ratte)
multilammellärer
Körper  (Ratte)
anderer MLK
 (Ratte)
Multilamelläres
Körperchen (Ratte)
MLK einer Clau-
diusschen Zelle (Ratte)
MLK aus einer
Granulosaluteinzelle (Ratte)
Übersicht
dazu
MLK in einer
Leberzelle (Ratte)
Bildung eines MLK
(Plasmazelle, Mensch)
extrazelluläres MLK
Rachenmandel (Mensch)
Synzythiotrophoblast mit
MLK (Plazenta, Mensch)
Detail 1 Detail 2
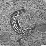
Multilamelläre Körperchen (MLK, Terminologia histologica: Corpuscula lamellaria, englisch: lamellar bodies) sind rundliche bis länglich ovale Zellorganellen, in deren Innerem sich zahlreiche elektronendichte Lamellen finden. MLK haben im Anschnitt einen durchschnittlichen Durchmesser von 0,2 - 1,5 µm und neben den stark osmiophilen Lamellen eine wenig elektronendichte Matrix, die oft artifiziell auseinander gerissen erscheint. Sie werden außen von einer Doppelmembran umgeben und enthalten reichlich Lipoproteine in ihren Lamellen. Diese Lamellen sind nur wenige nm dick und damit dünner als die Doppelmembran. MVK sind seltene Zellorganellen. Häufig sind sie nur in Pneumocyten (= Alveolarepithelzellen) vom Typ II zu finden. In diesen Zellen konnte gezeigt werden, daß sie meistens aus multivesikulären Körperchen hervorgehen. Jedoch können sie auch aus miteinander verschmelzenden Lamellen des glatten endoplasmatischen Retikulums entstehen oder auch aus dem Golgi-Apparat hervorgehen. In der Lunge liefern in Pneumocyten vom Typ II gebildete MLK den Lipoproteinanteil für den Surfactant und entleeren sich ins Alveolarlumen.

--> multivesikuläre Körperchen, Cytoplasma, Golgi-Apparat, Lunge, Mutterkuchen (Plazenta)
--> Elektronenmikroskopischer Atlas Gesamtübersicht
--> Homepage des Workshops


Aufnahmen, Seite & Copyright H. Jastrow.