Abkürzungsliste
Vokabular
mikros-
kopische
Anatomie
Fachtermini
Deutsch
+ Englisch
erklärt

Alle publizierten Inhalte wurden eingehend geprüft, dennoch wird keine Haftung für Richtigkeit und Vollständigkeit der Angaben übernommen !

of this page

Editor:
Dr. med.
H. Jastrow


Nutzungs-
bedingungen
Miniaturbildübersicht Golgi-Apparat (GA; Complexus golgiensis; Apparatus golgiensis):
Bereits bezeichnete Abbildungen lassen sich durch Anklicken des Textes aufrufen!
Detailbild eines
Golgi-Apparates (Affe)
Ductus epididymidis:
RER, Golgi-Apparate (Ratte)
GA einer Zelle des
Nebenhodengangs (Ratte)
mehrere GA in einer Zelle der
Adenohypophyse (Ratte)
GA quer einer Epithel-
zelle des Duodenums (Affe)
Golgi-Apparate
Adenohypophyse (Ratte)
kreisrunder GA quer
Nebenhodengang (Ratte)
GA einer Bowmann
Drüse der Nase (Affe)
Golgi Apparat längs
Nebenhodengang (Ratte)
Golgi Apparat
Nebenhodengang (Ratte)
Stereobild eines Golgi-Aparates einer Stütz-
zelle des Corti-Organs (Meerschweinchen)
Golgi-Apparat, neutrophi-
ler Granulocyt (Mensch)
GA einer Retikulumzelle der
Rachenmandel (Mensch)
GA einer Plasmazelle
(Ratte)
Golgi Apparat längs
Plasmazelle (Mensch)
Golgi Apparat
Plasmazelle (Mensch)
diverse GA
Plasmazelle (Mensch)
Golgi-Apparat,
Monocyt (Ratte)
Golgi Apparat
Prostataepithelzelle (Ratte)
GA fetale Rhesus-
affennierenzelle

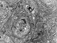
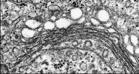
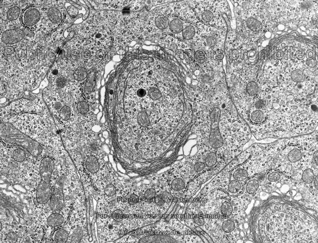
Golgi-Apparate (Terminologia histologica: Complexus golgiensis oder Apparatus golgiensis; englisch: Golgi complex; Golgi apparatus) sind Zellorganellen aus mehreren hintereinander gelagerten konvex - konkav zusammengefalteten Doppelmembransäckchen, die als Dictyosomen bezeichnet werden.
Sie kondensieren und verpacken Sekrete, die als Sekretvesikel, sogenannte Golgi-Vesikel abgegeben werden. Zudem regenerieren sie die Zellmembran, da die Phospholipidmembranen der Golgi-Vesikel mit der Zellmembran bei der Exozytose der Vesikel verschmilzt.
Der GA ist ein Ort der Proteinmodifikation (z.B. Kopplung von Proteinen mit Glukoronsäuren zwecks deren Ausscheidung in Leberzellen). Er empfängt Vesikel aus dem rauhen endoplasmatischen Retikulum (RER) an seiner cis-Seite und gibt an seiner dem RER abgewandten trans-Seite Sekretvesikel ab. Enthalten diese Sekretvesikel viele Enzyme, spricht man von primären Lysosomen; enthalten die Vesikel in sich weitere Bläschen spricht man von multivesikulären Körperchen. Weitaus häufiger jedoch stellen die Golgi-Vesikel Sekretvesikel von Drüsen dar.
Der Name der Organelle geht auf Camillo Golgi zurück, der von 1843 - 1926 lebte und als Pathologe in Pavia tätig war. Lichtmikroskopisch läßt sich ein Golgi-Apparat gelegentlich als kernnahe Aufhellung bei sehr hoher Vergrößerung erkennen. Durch Osmiumtetroxid oder Silbersalze läßt er sich lichtmikroskopisch anfärben. Diese perinukleäre (= kernnahe) Lage ist für rundliche Zellen typisch. Bei sekretbildenden Epithelzellen von Drüsen findet sich der GA stets supranucleär (oberhalb des Kerns) und über mehr oder weniger RER in Richtung des apikalen Zytoplasmas womit die Anordnung dem Weg der Sekretbildung folgt, die von den obersten Golgi-Vesikeln dann ins Lumen erfolgt. Dabei ordnen sich oft 2 größere GA um die beiden Zentriole an, was durch die von dort ausstrahlenden Mikrotubuli verursacht wird, die bei der Stabilisierung des GA helfen sollen. Das Mikrotubulussystem soll auch für die Positionierung des GA in Zellen verantwortlich sein. Allgemein sind GA in allen kernhaltigen Zellen vorhanden, ihre Größe ist jedoch funktionsabhängig.

--> Zytoplasma, RER, SER, Sekretvesikel, primäre Lysosomen, Peroxisomen, multivesikuläre Körperchen
--> Elektronenmikroskopischer Atlas Gesamtübersicht
--> Homepage des Workshops


Zwei Bilder wurden von Prof. H. Wartenberg, eines von Dr. M. Klinger zur Verfügung gestellt; übrige Aufnahmen, Seite & Copyright H. Jastrow.