List of abbreviations
Vocabulary
of micros-
copic
anatomy
specialist terms
explained in
English +
German

Every attempt was made to provide correct information and labelling, however any liability for eventual errors or incompleteness is rejected!

dieser Seite

Editor:
Dr. med.
H. Jastrow


Conditions
of use
Overview  pancreas (Pankreas):
Pages with explanations are linked to the text below the images if available! (Labelling is in German)
exocrine pancreas 1
acinus (monkey)
exocrine pancreas 2
(monkey)
exocrine pancreas 3
zymogen vesicle (monkey)
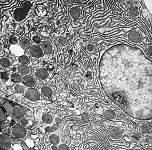
exocrine pancreas 4 RER
and vesicles (monkey)
exocrine pancreas 5
(monkey)
exocrine pancreas 6
(monkey)
exocrine pancreas 7
(monkey)
exocrine pancreas 8
(monkey)
exocrine pancreas 9
(monkey)
exocrine pancreas 10
(monkey)
exocrine pancreas 11
mitochondria (monkey)
exocrine pancreas 12
(monkey)
exocrine pancreas 13
(monkey)
exocrine pancreas 14
(monkey)
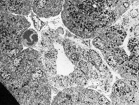
pancreas: acinus + cen-
troacinar cells (monkey)
exocrine pancreas 16
(monkey)
exocrine pancreas 17
(monkey)
exocrine pancreas 18
(monkey)
exocrine pancreas 19
(monkey)
exocrine pancreas 20
(monkey)
exocrine pancreas 21
centroacinar cells (monkey)
exocrine pancreas 22
(monkey) 
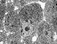
endocrine pancreas 1
(monkey)
endocrine pancreas 2
(monkey) 
endocrine pancreas 3
(monkey)
endocrine pancreas 4
(monkey)
endocrine pancreas 5
capillary x-section (monkey)
endocrine pancreas 6 capillary
longitudinal section (monkey)
endocrine and exocrine
pancreas (monkey)
intercalated duct
(monkey) 
intercalated duct 2
(rat)
acinus, digitations
(rat)
exocrine cell 1
(rat)
exocrine cell
2 (rat)
zymogen vesicles
(rat)
acinus, junctio-
nal complex (rat)
exocrine pancreas, centroacinar
cells and intercalar duct (rat)
endo- and exocrine
pancreas (rat)
RER in a cell of the
exocrine pancreas (monkey)

An English page with detailed information and more images is only available in the professional version of this atlas.

--> Table of different cell types in endocrine pancreas
--> glands, duodenum, salivary glands
--> Electron microscopic atlas Overview
--> Homepage of the workshop


Most images were kindly provided by Prof. H. Wartenberg, 3 by PD Klinger; other images, page & copyright H. Jastrow.