List of abbreviations
Vocabulary
of micros-
copic
anatomy
specialist terms
explained in
English +
German

Every attempt was made to provide correct information and labelling, however any liability for eventual errors or incompleteness is rejected!

dieser Seite

Editor:
Dr. med.
H. Jastrow


Conditions
of use
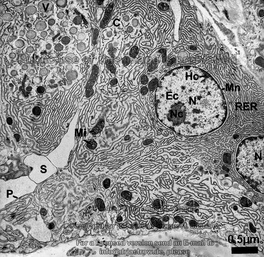
exocrine pancreas (rat)
(for unlabelled original image click here, please!)

C = Cytoplasma; Ec = Euchromatin; Hc = Heterochromatin; N = Nucleus (Zellkern);
Nc = Nucleolus (Kernkörperchen); Mi = Mitochondrien (Crista-Typ);
Mn = Membrana nuclearis = Kernmembran; P = Plasmalemma (Zellmembran);
RER = rauhes endoplasmatisches Retikulum; S = Spatium intercellulare (Interzellularraum, dilatiert);
V = Sekretvesikel (enthalten Zymogen).

--> pancreas
--> Electron microscopic atlas Overview
--> Homepage of the workshop


The image was kindly provided by Dr. med. M. Klinger, page & copyright H. Jastrow.