Abkürzungsliste
Vokabular
mikros-
kopische
Anatomie
Fachtermini
Deutsch
+ Englisch
erklärt

Alle publizierten Inhalte wurden eingehend geprüft, dennoch wird keine Haftung für Richtigkeit und Vollständigkeit der Angaben übernommen !

of this page

Editor:
Dr. med.
H. Jastrow


Nutzungs-
bedingungen
Miniaturbildübersicht freie Zellen im Bindegewebe:
Bereits bezeichnete Abbildungen lassen sich durch Anklicken des Textes aufrufen!
Granulozyt, Plasmazelle
Lymphozyt (Affe)
Granulozyt
 (Affe)
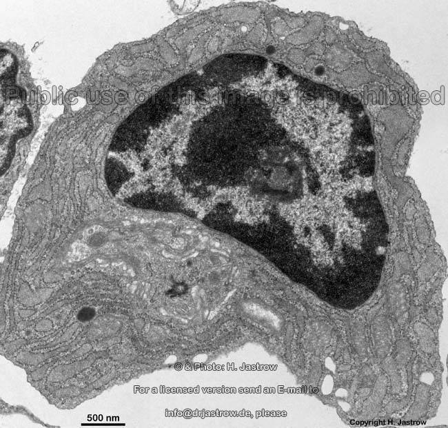
Plasmazelle
 (Affe)
Plasmazelle 2
 (Ratte)
perivaskuläre freie
Zellen (Affe)
Makrophage in der Tela sub-
mucosa des Magens der Ratte 1
anderer Makrophage
der Tela submucosa (Ratte)
Zu den freien Bindegewebszellen, die sich selbstständig (aktiv) über ihre beweglichen Fortsätze (Pseudopodien) durch das Bindegewebe bewegen können, zählen der Immunabwehr dienende Zellen, deren zahl bei Entzündungen massiv zunimmt. Dies sind:
Plasmazellen (aktivierte B-Lymphozyten, die Immunglobuline bilden; Terminologia histologica: Plasmocyti; englisch: plasma cells, plasmocytes, plasmacytes); Mastzellen (Terminologia histologica: Mastocyti; englisch: mast cells, mastocytes), die nach Stimulation (z.B. über Immunglobulin E bei allergischen Reaktionen) Histamin und Heparin freisetzen, als Histiozyten bezeichnete Freßzellen (Makrophagen; Terminologia histologica: Macrophagocyti; englisch: macrophages). Besonders in der Nähe von kleineren Blutgefäßen kommen hier auch aus dem Blut ausgetretene Granulocyten und Lymphocyten vor. Selten findet man frei bewegliche Pigmentzellen (Terminologia histologica: Cellulae pigmentatae; englisch: pigmented cells) zu denen man neben den sehr seltenen große Pigmentvesikel aufweisende Zellen (Terminologia histologica: Chromatophorocyti; englisch: chromatophore cells) die zumeist in die Basalzellschicht der Haut wandernden Melanozyten (Terminologia histologica: Melanocyti; englisch: melanocytes) zählen. Diese Zellen können aber auch längere Zeit im Bindegewebe ruhen und damit zeitweilig ortsständig sein. Die Pigmentzellen weisen ultraviolette Strahlen absorbierendes Melanin in Vesikeln auf und kommen besonders im Bindegewebe der Iris des Auges oder der Subcutis vor.
Freie Bindegewebszellen wandern aus Kapillaren aus, ein Vorgang, der als Diapedese (Durchtritt) bezeichnet wird, indem sie nach Anheftung an eine Endothelzelle den Interzellularraum zwischen benachbarten Endothelzellen auseinanderdrängen und hier hindurch aktiv ins Bindegewebe vorwandern. Umgekehrt können sie auch wieder auswandern, wobei ihre Fortsätze dann zunächst die Basalmembran penetrieren, dann den Interzellularraum zwischen benachbarten Endothelzellen auseinanderdrängen, wonach die ganze Zelle folgt. Folgende Blutzellen werden unter dem Begriff Mikrophagen zusammengefaßt: neutrophile-, eosinophile-, und die seltenen basophilen Granulozyten sowie die Lymphozyten, deren Zahl nur bei Entzündungen stark zunimmt. Damit die Diapedese stattfinden kann, müssen die Zellen ihre Gestalt und zum Teil einige Eigenschaften verändern. So werden die Monozyten des Blutes zu den Makrophagen, die aktivierten B-Lymphozyten zu Plasmazellen.
 

--> Bindegewebe, ortsständige Bindegewebszellen
--> weitere Bildübersichten: Mastzellen, Makrophagen
--> Elektronenmikroskopischer Atlas Gesamtübersicht
--> Homepage des Workshops


Einige Bilder wurden von Prof. H. Wartenberg zur Verfügung gestellt; übrige Aufnahmen, Seite & Copyright H. Jastrow.