Abkürzungsliste
Vokabular
mikros-
kopische
Anatomie
Fachtermini
Deutsch
+ Englisch
erklärt

Alle publizierten Inhalte wurden eingehend geprüft, dennoch wird keine Haftung für Richtigkeit und Vollständigkeit der Angaben übernommen !

of this page

Editor:
Dr. med.
H. Jastrow


Nutzungs-
bedingungen
Miniaturbildübersicht Mastzellen (Mastocyti):
Bereits bezeichnete Abbildungen lassen sich durch Anklicken des Textes aufrufen!
menschliche Mastzelle (Typ1)
im Bindegewebe der Unterhaut
Detail davon 1 Detail davon 2 menschliche Mastzelle
(Typ1)
menschliche Mastzelle (Typ 1) aus der Sklera
des Augapfels (4 Stunden post mortem fixiert)
menschliche 
Mastzellvesikel 1
menschliche
Mastzelle (Typ1)
menschliche 
Mastzellvesikel 2
menschliche
Mastzellvesikel 3
menschliche
Mastzellvesikel 4
menschliche
Mastzellvesikel 5
menschliche Mastzelle
(Typ 1)
menschliche Mastzellvesikel
einige davon in Regeneration
menschliche Mastzelle
(Typ 2)
Detail: menschliche
Mastzellvesikel 6
Detail: menschliche
Mastzellvesikel 7
menschliche Mastzellvesikel 8
aus einer anderen Mastzelle
Mastzelle der Ratte 1
vorderes Detail davon hinteres Detail davon Mastzellvesikel Ratte 1 Mastzellvesikel Ratte 2
Mastzellvesikel Ratte 3 mit
ausgestoßenem Vesikel
Mastzellvesikel Ratte 4
univakuoläre Fettzelle
+ Mastzelle der Ratte 2
vorangehende Mastzellle
der Ratte im Detail
Mastzellen Ratte 3 Mastzelle der Ratte 4 im
Ligamentum ovarii
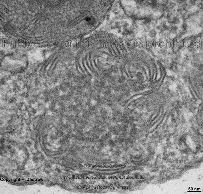
Eine Mastzelle (Termionologia histologica: Mastocytus; englisch: Mast cell, Mastocyte) ist eine freie Bindegewebszelle. Aufgrund ihrer Lage wurden Mastzellen an ihren häufigsten Lokalisationen noch speziell benannt: als Schleimhaut assoziierte Mastzellen  (Termionologia histologica: Mastocyti mucosales; englisch: mucosa related mast cells) bzw. als gefäßnahe Mastzellen (Termionologia histologica: Mastocyti perivasculares; englisch: perivascular mast cells). Mastzellen sind aktiv beweglich, das bedeutet sie können durch umliegendes Gewebe wandern. Hierzu benutzen sie ihre, mehrere Mikrometer langen beweglichen Fortsätze, die als Pseudopodien oder Filopodien bezeichnet werden. Im Inneren der Mastzellen finden sich mehrere hundert Vesikel (keine Granula!), die bei Stimulation durch Immunglobulin E (IgE) innerhalb von Sekundenbruchteilen zum Teil mit der Zellmembran verschmelzen und ihren Inhalt freigeben zum anderen Teil als intakte Vesikel mit Membran aus der Zelle ausgeschleust werden (Abb. unten links). Die Freisetzung der Vesikelinhaltsstoffe spielt bei allergischen Reaktionen vom Soforttyp (Typ 1 Allergie) eine wichtige Rolle. Notwendig ist ein Erstkontakt mir dem Antigen, der zur Bildung spezifischer Immunglobulin E (IgE) Antikörper in Plasmazellen führt, diese binden an Mastzellen, diese bilden dann einen FceRI Rezeptor, der auf der Zellmembran exprimiert wird. Bei erneuten Vorliegen des Antigens bindet dies an den FceRI Rezeptor der sensibilisierten Mastzelle und führt zu der ebengenannten allergischen Reaktion. Für diesen Vorgang der sofortigen Vesikelinhaltfreisetzung hat sich die Bezeichnung Mastzelldegranulation etabliert. Der Begriff geht auf die Lichtmikroskopie zurück und ist nicht korrekt, da es sich tatsächlich um eine schnelle Exocytose der membranumschlossenen Vesikel handelt. Der ebenfalls etablierte Begriff Mastzellgranula ist nicht richtig, da Granulum Körnchen bedeutet und tatsächliche Granula, wie z.B. Glykogengranula nicht von einer Membran begrenzt sind. Wie in den Abbildungen zu erkennen, sind die Mastzellvesikel bei der Ratte sehr elektronendicht und gleichförmig homogen. Beim Menschen finden sich Vesikel mit sehr unterschiedlichem Inhalt. Die im Durchmesser etwa 1 µm großen Vesikel sind basophil, wasserlöslich und metachromatisch in der lichtmikroskopischen Färbung. Chemisch enthalten die Vesikel neben Wasser Histamin, Heparin und Glykosaminoglykane (aus Glukoronsäure, Glukosamin und Schwefelsäure aufgebaut, erklärt die Metachromasie), chemotaktische Faktoren, Tryptase und /oder Chymase. Bei Nagern zusätzlich Serotonin. Mastzellen setzen ferner folgende Mediatoren frei, die auch in den Vesikeln gespeichert sind: Tumor-Nekrose Faktor alpha (TNFa), Interleukin 4,5,6 und 8 (IL4, IL5, IL6,IL8) sowie eosinophilen chemotaktischer Faktor, der die Einwanderung von eosinophilen Granulocyten fördert, die dann eine Blockade der Histaminwirkung verursachen und bei der Eindämmung einer Entzündung helfen. Ferner finden sich in den Vesikeln bFGF, Stammzellfaktor, Gefäßpermeabilitätsfaktor und Gefäßendothelwachstumsfaktor. Weitere Mediatoren werden in Mastzellen nur unter Stimulation neu gebildet und freigesetzt und daher wahrscheinlich nicht in den Vesikeln gespeichert: Prostaglandin GD2 (PGD2), Leukotrien C4 (LTC4), Leukotrien D4 (LTD4), Blutplättchen aktivierender Faktor (PAF).
Elektronenmikroskopisch enthalten Mastzellvesikel verschiedene Komponenten: zum einen zylinderförmige, lamellierte an Membranrollen erinnernde Strukturen (im Detailbild 1 in Quer und Längsschnitt erkennbar), ferner kristalline Komponenten (erkennbar an der regelmäßigen Streifung; Detailbilder 1-5). Einige Autoren wollen Ribosomen in Mastzellvesikeln kultivierter Zellen gefunden haben.
In 1 mm³ Haut finden sich normalerweise zwischen 7.000 und 10.000 Mastzellen bevorzugt nahe bei Kapillaren, Lymphgefäßen und Nerven. Menschliche Mastzellen sind meist länglich und ca. 5 x 15 µm groß. Sie gehen aus einer multipotenten Stammzellart des Knochenmarks hervor, die auf Ihrer Zelloberfläche, d.h. an der Zellmembran den CD34 Rezeptor besitzt. Aus dieser gehen neben basophilen Granulocyten auch Monocyten-ähnliche Zellen ohne Vesikel hervor, die dann über das Blut ins Bindegewebe einwandern. Innerhalb einiger Stunden beginnen sich dann die ersten Vesikel zu bilden wodurch die reifen Mastzellen entstehen. Man unterscheidet morphologisch und biochemisch 3 Mastzellarten:
Typ 1 die häufigsten, in der Haut vorwiegenden, welche Vesikel mit hauptsächlich amorphem elektronendichtem Inhalt besitzen. Nicht allzu häufig liegen um den dunklen, teils kristalloiden Vesikelkern am Rand rollenförmige Strukturen (Detailbilder 1-5). Diese Mastzellsorte bildet Tryptase und Chymase.
Typ 2 die weniger häufigeren in der Lunge überwiegenden mit besonders vielen Vesikeln mit hauptsächlich rollenförmigem Inhalt sowie osmiophilen Fetttröpfchen unterschiedlich starker Elektronendichte (Detailbilder 6-8). Die Lipidkörper enthalten Cyclooxygenase. Die Mastzellen vom Typ2 produzieren nur Tryptase.
Typ 3 diese postulierten, seltenen nur Chymase bildenden Mastzellen sollen in axillären Lymphknoten, der Lunge und im Bindegewebe des Darms zu finden sein.
Mastzellen haben nur wenig rauhes endoplasmatisches Retikulum und kleine Golgi-Apparate. Im Cytoplasma finden sich neben den Vesikeln einige freie Ribosomen, Mikrotubuli, Aktin- und Intermediärfilamente. Lipidkörperchen (Fetttropfen sind nur im Typ 2 zu finden;s. oben). Neben der o.g. schnellen Vesikelexocytose durch IgE Stimulation können andere Substanzen zu einer wesentlich geringeren Vesikel bzw. Mediatorfreisetzung führen. Mastzellen sind bei der Allergie, akuten und chronischen Entzündungen, der T-Zell Aktivierung und der Gewebsabwehr von Parasiten beteiligt. Bei vielen Hautkrankheiten ist ihre Funktion gestört z.B. bei Psoriasis, chronischem Ekzem, Sklerodermie, Lichen simplex und - planus.

--> Bindegewebe, freie Bindegewebszellen, Plasmazellen, Lymphocyten, Blutzellen, basophile Granulocyten, Knochenmark
--> Elektronenmikroskopischer Atlas Gesamtübersicht
--> Homepage des Workshops


Aufnahmen, Seite & Copyright H. Jastrow.