Abkürzungsliste
Vokabular
mikros-
kopische
Anatomie
Fachtermini
Deutsch
+ Englisch
erklärt

Alle publizierten Inhalte wurden eingehend geprüft, dennoch wird keine Haftung für Richtigkeit und Vollständigkeit der Angaben übernommen !

of this page

Editor:
Dr. med.
H. Jastrow


Nutzungs-
bedingungen
Miniaturbildübersicht Zwischenzellraum (Spatium intercellulare):
Bereits bezeichnete Abbildungen lassen sich durch Anklicken des Textes aufrufen!
dilatierter Zwischenzell-
raum Stachelzellschicht
der Haut (Mensch)
Übersicht Zwischen-
zellraum Stachelzell-
schicht (Haut, Mensch)
elastische Membran zwischen
glatter Muskulatur und Gefäß-
endothel (Arteriole, Ratte)
Zwischenzellraum im Bindegewebe
mit Kollagenfasern und
Grundsubstanz (Ratte)
Bindegewebe mit
sehr vielen Fasern
im Interzellularraum (Ratte)
sehr enger Zwishenzellraum im Epithel
der Adenohypophyse (Ratte)
kurzstreckig unterbrochener
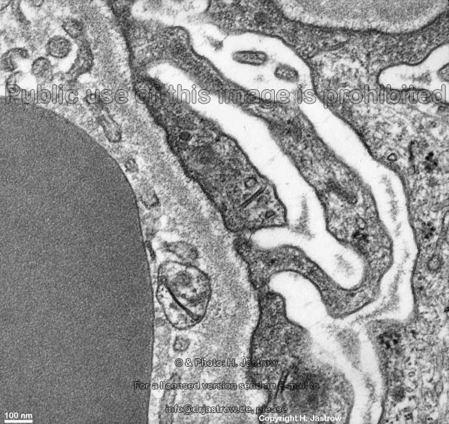
Interzellularraum an einer
Tight-junction, Leber (Ratte)
Ductus epididymidis:
RER, Golgi-Apparate
enger Interzellularraum (Ratte)
Zwischenzellraum im glatten Muskel-
und Nervengewebe (Ratte)
Interzellularraum dient der
Reizübertragung bei einer
Synapse en passant (Ratte)
Interzellularraum dient der
Reizübertragung an einer
Synapse, Hirnrinde (Ratte)
geschlängelter IZR durch
verzahnte Epithelzellen
im Pankreasgang (Ratte)
 verzahnter IZR im
Glanzstreifen der Herzmuskulatur
(Ratte)
Filtrationsbarriere Niere
Basalmembran im IZR
(Ratte)

Der Zwischenzellraum, Interzellularraum (Interstitium; Terminologia histologica: Spatium intercellulare, englisch: intercellular space) ist der Raum zwischen ZellenMan spricht im Epithelgewebe wegen der Enge des Zwischenzellraumes auch von Interzellularspalt. Er wird gewissermaßen von den Außenmembranen von Zellen begrenzt. Im Epithelgewebe ist er zumeist flüssigkeitsgefüllt und daher kaum elektronendicht. Die Weite des Raumes beträgt hier etwa 25 bis 30 nm. Der Zwischenzellraum wird im Bereich von einigen Zell-Zell-Verbindungen von Epithelzellen von Interzellularsubstanz ausgefüllt (Macula und Zonula ahhaerens). In den Tight-junctions (Zonulae occludentes) ist er fast unsichtbar eng wo die in benachbarter Zellmembranen eingelagerten Occludine einander berühren fehlt er ganz, dennoch ist zwischen diesen nur punktartigen Berührungsstellen noch etwas Platz. Diese als Poren bezeichneten freien Bereiche sind für den Durchtritt von Wasser und kleinen Ionen besonders im Darm wichtigen parazellulären Transport wichtig: im Duodenum und Jejunum sind die Poren 0,8 nm weit, hier wird ca. 60 % des Wassers dem Nahrungsbrei entzogen, im Ileum sind die Poren nur noch 0,4 nm weit, hier werden noch 20 % des Restwassers entzogen und im Colon beträgt die Porenweite nur noch 0,23 nm, wodurch nochmals ca. 20 % des verbliebenen Wassers entzogen werden können.
Im Bereich elektrischer Synapsen (Nexus) wird der Interzellularraum von Tunnelproteinen überbrückt, wobei die Zellmembranen der Nachbarzellen sehr eng beieinander liegen. Besondere Zwischenzellräume sind auch die Gallenkanaliculi, die sich zwischen den Hepatozyten in der Leber finden und Gallenflüssigkeit zu den Hering-Kanälchen transportieren..
Insbesondere im Bindegewebe wird der Interzellularraum sehr weit und ist mit Interzellularsubstanz bestehend aus Fasern (Kollagenfasern, elastische Fasern, retikuläre Fasern) sowie Grundsubstanz ausgefüllt. Im Nervengewebe findet sich, wie auch im Muskelgewebe, etwas kollagenes und elastisches Fasermaterial im Interzellularraum. Abschnittsweise ist der Raum auch sehr schmal (Zentralnervensystem). Im Bereich von Synapsen und motorischen Endplatten müssen Neurotransmitter den Interzellularraum passieren.
Aufgrund der im Interstitium vorhandenen Proteine und Ionen herrscht im Zwischenzellraum ein kolloidosmotischer Druck von 5 bis 8 mm Hg.

--> Nervengewebe, Muskelgewebe, Epithelgewebe, Bindegewebe, amorphe Grundsubstanz
--> Elektronenmikroskopischer Atlas Gesamtübersicht
--> Homepage des Workshops


Aufnahmen, Seite & Copyright H. Jastrow.