Abkürzungsliste
Vokabular
mikros-
kopische
Anatomie
Fachtermini
Deutsch
+ Englisch
erklärt

Alle publizierten Inhalte wurden eingehend geprüft, dennoch wird keine Haftung für Richtigkeit und Vollständigkeit der Angaben übernommen !

of this page

Editor:
Dr. med.
H. Jastrow


Nutzungs-
bedingungen
Miniaturbildübersicht Zentralkörperchen (Centriolen):
Bereits bezeichnete Abbildungen lassen sich durch Anklicken des Textes aufrufen!
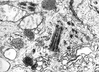
Centriolen im
Längsschnitt (Ratte)
Centriol längs
Lymphocyt (Ratte)
Centriol längs Detail
einer anderen Abbildung (Ratte)
diese Abbildung in
der Übersicht (Ratte)
Stereobild eines nicht ganz typischen
Centriols einer Zelle des Limbus spiralis (Ratte)
Centrosom, Mitose
Thymus (Ratte)
Centriol im
Querschnitt (Ratte) 1
Centriol im
Querschnitt (Ratte) 2
Centriol im
Querschnitt (Ratte) 3
Centriol längs
Fibrocyt (Ratte)
Centriol im
Schräganschnitt (Ratte)
Diplosom im Cytoplasma
eines Fibrocyten (Ratte)
Centrosom, Mitose
Thymus 2 (Ratte)
von einem Centrosom ausstrah-
lende Mt bei einer Mitose (Ratte)
Übersicht dazu mit mehr
Spindelfasern Thymus (Ratte)
Zentralkörperchen oder Centriolen (Terminologia histologica: Centriolae, englisch: centriols) sind ca. 150 nm durchmessende, 300 - 500 nm lange elektronendichte Hohlzylinder. Diese bestehen aus 9 Mikrotubulustripletts, welche über feinste Filamente miteinander verbunden sind. Die Tripletts weisen nicht senkrecht von innen nach außen, sondern sind um ca. 30 Grad zur Achse des Centriols abgewinkelt. Die Tripletts sind aus einem inneren, kompletten runden A-Tubulus mit 13 Protofilamenten aufgebaut, an dem ein zweiter, inkompletter (B-Tubulus) mit 10 Protofilamenten angelagert ist, an diesem schließlich ist außen noch ein dritter, ebenfalls inkompletter C-Tubulus mit wiederum 10 Protofilamenten befestigt. Bei den Protofilamenten handelt es sich um alpha- und beta-Tubulin, die abwechselnd die Schichten der spiralig gewundenen Tubuli bilden. An den innersten (A-)Tubuli sind zwei kurze Proteine angelagert. Das eine verbindet den A-Tubulus mit dem folgenden Triplett, das andere weist zum Zentrum des Centriols. Die um die Centriolen befindliche pericentrioläre Matrix enthält gamma-Tubulin und Pericentrin und dient weiter außen gelegenen Mikrotubuli zur Verankerung.
In der Regel kommen in menschlichen Zellen 2 nahe beieinander und etwa senkrecht aufeinander stehende Centriolen vor, die unter dem Begriff Diplosom zusammengefaßt werden. Als Centrosom oder Cytozentrum bezeichnet man das Diplosom mit den umgebenden Filamenten.
Centriolen liegen meist in der Nähe des Zellkerns und von Golgi-Apparaten. In der Zellteilung (Mitose) wandern die Centriole auseinander nachdem sie sich am Ende der S-Phase oder der Prophase verdoppelt haben. Dabei entstehen die Tochterzentriole im rechten Winkel zu den bereits vorhandenen. Zwischen ihnen bilden sich dann Spindelfasern aus Mikrotubuli aus, die in der Metaphase der Mitose am besten zu erkennen sind. Die Centriolen sind an der Organisation des Chromatins und dem Auf- und Abbau der Kernmembranwährend der Zellteilung beteiligt.
Im Aufbau gleichen die Centriolen den Basalkörperchen der Kinocilien, sie sind jedoch nicht mit Cilien verbunden.

--> Mikrotubuli, Basalkörperchen von Kinocilien, Mitose
--> Elektronenmikroskopischer Atlas Gesamtübersicht
--> Homepage des Workshops


Aufnahmen, Seite & Copyright H. Jastrow.