Abkürzungsliste
Vokabular
mikros-
kopische
Anatomie
Fachtermini
Deutsch
+ Englisch
erklärt

Alle publizierten Inhalte wurden eingehend geprüft, dennoch wird keine Haftung für Richtigkeit und Vollständigkeit der Angaben übernommen !

of this page

Editor:
Dr. med.
H. Jastrow


Nutzungs-
bedingungen
Miniaturbildübersicht Blutplättchen (Thrombocyti):
Bereits bezeichnete Abbildungen lassen sich durch Anklicken des Textes aufrufen!
Thrombozyten:
längs + quer (Mensch)
Detail 1: querange-
schnittener Thrombozyt
Detail 2: Cytoplasma
des Thrombozyten
Detail 3: Cytoplasma
des Thrombozyten
Detail 4: diverse
Vesikel
Detail 5: diverse
Vesikel
Thrombozyten, beginnende
Aggregation (Mensch)
menschliche Thrombozyten mit
langen Fortsätzen
Detail davon Thrombozyt 1
(Mensch)
Thrombozyt 2
(Mensch)
Detail: Mitochondrium
und Vesikel
Thrombozyten:
längs + quer
diverse
Thrombozyten
menschliche Thrombocyten 2 Vesikel eines menschlichen
Thrombozyten
diverse menschliche
Thrombozyten
Thrombozyten in der Ge-
frierbruchtechnik (Mensch)
offenes canaliculäres System und
Vesikel in der Gefrierbruchtechnik (Mensch)
Thrombozyten, beginnende
Aggregation (Mensch)

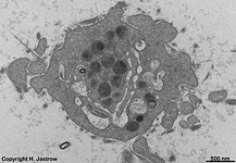
Die Blutplättchen (Thrombozyten; Terminologia histologica: Thrombocyti; englisch: platelets; thrombocytes) sind keine vollständigen Zellen, da ihnen ein Kern fehlt. Die scheibenförmigen Partikel haben einen maximalen Durchmesser von ca. 2 µm und lagern sich insbesondere bei der Blutgerinnung aneinander an. Normalerweise findet man im menschlichen Blut 150.000 - 300.000 Thrombocyten pro mm³. Das Volumen von Thromboz            yten beträgt 5,7 - 8,9 Femtoliter; Der Thrombokrit (Anteil der Thrombozyten am gesamten Blutvolumen) 0,14 - 0,27 %; bei Kindern bis 0,45 % und nimmt mit dem Alter ab. Thrombocyten sind abgeschnürte Cytoplasmateile der Riesenzellen (Megakaryocyten) des roten Knochenmarks. Die mittlere Lebensdauer der Blutplättchen beträgt 5 - 10 Tage; ihr Abbau geschieht durch Freßzellen (Makrophagen) in Form einer Phagocytose vorwiegend in der Milz und LeberIn der Mitte der Scheibchen finden sich viele Vesikel, die lichtmikroskopisch als Granula (Terminologia histologica: Granula thrombocytica; englisch: thrombocytic granules) erscheinen, daher wird dieses Zentrum als Granulomer (Terminologia histologica: Granulomerus; englisch: granulomere) bezeichnet. Tatsächlich, d.h. elektronenmikroskopisch handelt es sich dabei aber um von Membranen umgebene Vesikel. Außerdem finden sich hier einige Beta-GlykogengranulaUm das Zentrum herum findet sich ein Bereich in dem neben Flüssigkeit Mikrotubuli in größeren Bündeln (Terminologia histologica: Fasciculi microtubulares marginales; englisch: marginal microtubular bundles) und besonders nahe der Zellmembran konzentrierte Mikrofilamente (überwiegend Aktin) vorliegen, der als Hyalomer (Terminologia histologica: Hyalomerus; englisch: hyalomere) bezeichnet wird. Auf der Außenmembran der Thrombocyten findet sich eine Protein-Zuckerschicht, die Glykokalix von 10 - 50 nm Dicke. In die Außenmembran der Thrombocyten stülpt sich das offene canaliculäre System (Terminologia histologica: Systema canaliculare apertum; englisch: open canalicular system) zum Teil sehr tief bis ins Granulomer ein. Es ähnelt glattem endoplasmatischem Retikulum, stellt aber tatsächlich eine von Zellmembran begrenzte Einstülpung (Invagination) des Extrazellularraums dar, daher findet man in seinem Lumen auch eine zarte Glykokalix. Ein zweites Röhrensystem mit elektronendichterem etwas weniger weitem Inneren als das offene canaliculäres System wird als dichtes Röhrensystem (Terminologia histologica: Systema tubulare densum; englisch: dense tubular system) bezeichnet. Es entspricht dem glatten endoplasmatischen Retikulum des Megakaryocyten (aus dem das Blutplättchen hervorging), reichert in seinem Inneren Kalziumionen an und spielt bei der Plättchenaktivierug eine wichtige Rolle.
Im Granulomer finden sich Vesikel mit Durchmessern um die 200 nm, die man unterteilt in elektronendichte und weniger elektronendichte = alpha-Vesikel (Terminologia histologica: Granula alpha; englisch: alpha granules. Leider hat sich die internationale Nomenklatur an tradierten Begriffen und nicht an den Tatsachen orientiert, denn tatsächlich handelt es sich bei diesen und allen im Folgenden genannten "Granula" um Vesikel, da sie von einer Membran umgeben sind. Die alpha-Vesikel sind eine uneinheitliche Population bestehend aus Lysosomen, Peroxysomen und Sekretvesikeln, die Gerinnungsfaktoren enthalten z.B. den Plättchen Faktor 4 und Fibrinogen. Die elektronendichten Vesikel sind in menschlichen Thrombocyten selten und enthalten Serotonin, Adenosindiphosphat (ADP) und Adenosintriphosphat (ATP). Man kann sie noch in Delta-Vesikel (Terminologia histologica: Granulum delta; englisch: delta granule; dense body) und Lambda-Vesikel unterteilen (Terminologia histologica: Granulum lambda; englisch: lambda granule).
Blutplättchen setzen besonders bei íhrem Zerfall des Enzym Thrombokinase frei. Mit Hilfe anderer Faktoren wandelt dieses im Blut vorhandenes Prothrombin zu dem aktiven Enzym Thrombin um, welches das im Blut gelöste Fibrinogen in faseriges Fibrin überführt. Letzteres bildet dann ein Netzwerk, in dem sich neben den anhaftenden Thrombocyten auch andere Blutzellen verfangen, dadurch entsteht ein Blutgerinnsel (Thrombus). Auch die von den Trombocyten ausgebildeten füßchenförmigen beweglichen Fortsätze (Pseudopodien) tragen zum Zusammenhalt eines Thrombus bei.

--> Blut Schranken, Blutzellen, Blutgefässe
--> Elektronenmikroskopischer Atlas Gesamtübersicht
--> Homepage des Workshops


Diese Bilder wurden zum Teil von PD Dr. Klinger zur Verfügung gestellt, übrige Aufnahmen, Seite & Copyright H. Jastrow.