Abkürzungsliste
Vokabular
mikros-
kopische
Anatomie
Fachtermini
Deutsch
+ Englisch
erklärt

Alle publizierten Inhalte wurden eingehend geprüft, dennoch wird keine Haftung für Richtigkeit und Vollständigkeit der Angaben übernommen !

of this page

Editor:
Dr. med.
H. Jastrow


Nutzungs-
bedingungen
Miniaturbildübersicht Leber (Hepar):
Bereits bezeichnete Abbildungen lassen sich durch Anklicken des Textes aufrufen!
Hepatocyten, ITO-
Zelle, Sinusoid (Affe)
Hepatocyten, Kupffer-
und ITO Zelle (Affe)
Dissescher Raum
(Affe)
Hepatocyt (Affe) Dissescher Raum,
Sinusoid (Affe)
Peroxisom,
Glykogengranula (Affe)
Peroxisom
(Ratte)
Gallenkanälchen (Affe) Gallengang (Affe) alpha-Glykogengranula
(Ratte)
Endothelzelle der Vena
centralis + Fibrocyt (Ratte)
Zellen am Gallen-
gang (Ratte)
Pit-Zelle = leberspezifischer
T-Lymphocyt (Ratte)*
Hepatocyt 1 (Ratte)*
Sinusoid, Disse-Raum,
Kupffer-Zellen (Ratte)*
Kupffer- und ITO Zelle
(Ratte)*
Gallenkapillare zwischen
2 Hepatocyten (Ratte)*
Macula adhaerens
zwischen Hepatocyten (Ratte)
retikuläre Fasern
im Disse-Raum (Ratte)
Zonula occludens zwischen
2 Hepatocyten (Ratte)
Hepatocyt 2 (Ratte)* 
Disse-Raum, apikales Cytoplasma
(Ratte)
Cytoplasma: multilam-
melläres Körperchen (Ratte)
Cytoplasma: dunkle Mito-
chondrien vom Crista-Typ (Ratte)
Cytoplasma: Peroxysom
(Ratte)
Kernporen eines
Hepatocyten (Ratte)
Zonula occludens zwischen
2 Hepatocyten (Ratte)
Hepatocyt 3 (Ratte) ITO-Zelle 2 (Ratte) ITO-Zelle 3 (Ratte) fenestrierte Sinusendo-
thelzelle 1 (Ratte)
Kupffer-Zelle 2
(Ratte)*
Herring Kanälchen,
Endothelzellen (Ratte)*
ITO-Zelle 4 (Ratte) fenestrierte Sinusendo-
thelzelle 2 (Ratte)
Gallengang (Ratte) Glisson-Trias: Arteriole
+ Gallengang (Ratte)*
Kupffer-Zelle 3
(Ratte)*
Detail der Kupffer-Zelle 2:
großes Phagolysosom
Granulocyt, Kupffer-Zelle +
Endothelzelle (Ratte)*
Hepatocyt 3 mit gut erhal-
tenem Cytoplasma (Ratte)
Detail 1: Cytoplasma mit
RER, SER + Mitochondrien
Detail 2: anderer Be-
reich des Cytoplasmas
Detail 3: glattes endoplas-
matisches Retikulum
Detail 4: Mitochondrien
und RER
Detail 5: dunkles Mito-
chondrium vom Crista-Typ
ITO-Zelle 5 (Ratte) Hepatocyt 4 (Ratte)* Detail 1: Zellkern Detail 2: Nucleolus
(Kernkörperchen)
Kupffer-Zelle 4 mit phagocytier-
ten roten Blutkörperchen (Ratte)
Kupffer-Zelle 5 mit großem
Phagolysosom (Ratte)*
Mitose eines
Hepatocyten (Ratte)
Detail1  davon Detail 2 mit Spindelfasern
und Organellen
Zell-Zellkontakte zwischen
Hepatocyten (Ratte)
Zonula adhaerens zwischen
Hepatocyten (Ratte)
Alpha-Glykogen-
granula (Ratte)

Läppchengliederung der Leber:
Das funktionelle Lebergewebe (Leberparenchym) ist in Läppchen (Terminologia histologica: Lobuli hepatici; englisch: hepatical lobules) untergliedert, je nach Betrachtungsweise kann man dabei folgende Einteilungen unterscheiden:
1. klassische Leberläppchen (Terminologia histologica: Lobuli hepatici classici; Lobuli hepatici polygonales; englisch: classical hepatical lobules, polygonal hepatic lobules): Die Leberzellen sind in 1 - 1,5 Millionen polygonalen, ~2 mm³ großer Läppchen, den klassischen Leberläppchen, angeordnet, in deren Zentrum sich bei dieser Einteilung die Zentralvenen befinden. Um diese herum sind, dicht nebeneinander stehenden Radspeichen ähnlich, die plattenförmig miteinander verbundenen Hepatozyten so angeordnet, daß sich dreidimensional sechskantige Säulen ergeben, die an Bienenwaben erinnern. Zwischen den Leberzellplatten verlaufen die 0,5 - 0,6 mm langen Lebersinusoide in welchen Blut von außen langsam auf die Zentralvene zuströmt. Dort, wo sich die Hepatozyten direkt anliegen, bilden sich zwischen ihnen feine Gallenkanaliculi aus, die nahe den Zentralvenen beginnen und von dort Galle in Richtung der Hering Kanälchen leiten, somit fließt die Galle entgegengesetzt zum Blut vom Zentrum des Läppchens nach außen in mehrere verschiedene Gallenkanälchenab. Klassische Leberläppchen sind ca. 2 mm hoch und haben mittlere Durchmesser von 1 - 1,3 mmAn den Grenzkanten zwischen drei oder mehr Leberläppchen finden sich die portalen Felder (Portalkanäle; Terminologia histologica: Spatia portalia; englisch: portal areas, portal canals, portal zones) in deren lockerem Bindegewebe sich die Glisson'sche Trias (Terminologia histologica: Trias hepatica; englisch: portal triad) befindet. Darunter versteht man folgende nahe beieinander liegende Gefäße: eine Zwischenläppchenarterie, die aus der Arteria hepatica propria gespeist wird, eine Zwischenläppchenvene, die ihr Blut aus Ästen der Pfortader erhält und einen interlobulären Gallengang. Neben diesen 3 Gefäßen sind aber auch noch interlobuläre Kapillaren neben kleinen, dünnen Lymphgefäßen im Bindegewebe mit eingebettet. Die terminalen Venolen gehen etwa senkrecht aus den der Interlobularvenolen ab und ziehen außen am Leberläppchen entlang. Sie setzen sich in viele senkrechte Abgänge, die Lebersinusoide, fort, die parallel zu den Hepatozytenplatten ins Zentrum des Leberläppchens weiterziehen.
2. der Leberazinus (Terminologia histologica: Acinus hepaticus; englisch: liver acinus). Bei dieser Untergliederung steht der Sauerstoffgehalt im Gewebe und damit die terminale Arteriole im Vordergrund.
3. Portale Leberläppchen (Terminologia histologica: Lobuli portales; englisch: portal lobules). Hierbei werden die Portalkanäle mit interlobulärer Vene, Arterie und Gallengang als Zentrum des Läppchens angesehen. Die 3 nächsten Zentralvenen sind dann die Begrenzungslinien des im Anschnitt etwa dreieckigen Läppchens, das dreidimensional betrachtet einer dreikantigen Säule entspricht.

Zelltypen der Leber und ihre Funktionen:
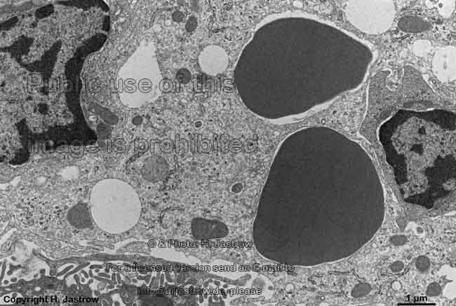
A. Hepatozyten (Terminologia histologica: Hepatocyti; englisch hepatocytes) sind die funktionstragenden Zellen der Leber und werden auch Leberparenchymzellen oder Leberepithelzellen genannt. Diese mit Durchmessern von 20 - 30 µm relativ großen polyedrischen Zellen mit mehr als 6 Seiten bilden plattenförmige Zellverbände (Terminologia histologica: Laminae hepatocyticae; englisch: hepatocyte laminas, hepatocytic plates, hepatic trabeculae), die in einem zusammenhängenden dreidimensionalen Zellnetzwerk (Terminologia histologica: Muralium hepaticum; englisch: hepatic muralium) in etwa parallel zueinander stehend verbunden sind. Dazwischen verzweigen sich die Sinusoide. Ca. 20 - 25% der sehr stoffwechselaktiven Zellen weisen 2 Kerne auf. Zwischen 3 - 40 % der Zellkerne haben Durchmessern von 10-12 µm und sind diploid (normaler, doppelter Chromosomensatz); sie finden sich am häufigsten im periportalen Bereich der Zone 1; 50 - 60% haben Kerndurchmesser von ~ 15 µm und sind tetraploid (4-facher Chromosomensatz) und die besonders großen Kerne mit Durchmessern von ~20 µm sind sogar oktaploid (8-facher Chromosomensatz). Hepatozyten enthalten in etwa 500 200 - 800 nm durchmessende Peroxisomen, die an der Cholsterin- und Gallensäuresynthese beteiligt sind
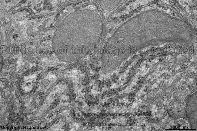
B. Sinusoidendothelzellen(Terminologia histologica: Endotheliocyti perforati; englisch: perforated endothelial cells): Die platten Endothelzellen der Lebersinusoide bilden ein diskontinuierliches Endothel mit vielen, teils deutlich über 100 nm weiten, Lücken aus, unter dem sich keine Basallamina findet. Benachbarte Endothelzellen überlappen sich, sind aber nicht über Zonulae occludentes miteinander verbunden. Die Zellen enthalten zudem einige hundert offene transzelluläre Poren mit ca. 100 nm Durchmesser, die oft eng nebeneinander liegen und Siebplatten ausbilden.
C. von Kupffer-Zellen (Terminologia histologica: Macrophagocyti stellati; englisch: stellate macrophages): Diese zum monozytären Phagozytensystem gehörenden Zellen sind große Freßzellen (Makrophagen), die sich im Lumen der Sinusoide im strömenden Blut befinden und mit einigen Füßchen (Pseudopodien), die sie durch Löcher in und zwischen Endothelzellen hindurchstrecken, im Disse-Raum verankert sind.
D. ITO-Zellen (Terminologia histologica: Cellulae perisinusoidales; Cellulae accumulantes adipem; englisch: Ito-cells, perisinusoidal cells, fat storing cells, hepatic stellate cells). Diese dreidimensional sternförmigen an ihren vielen großen zytoplasmatischen Lipidtropfen erkennbaren Zellen dienen der Speicherung von Vitamin A und Fett.
E. Pit Zellen (Terminologia histologica: Cellulae necatoriae hepaticae; englisch: hepatic natural killer cells, hepatic NK cells, pit cells): Im Disse-Raum kommen neben aus Kollagen Typ III bestehenden retikulären Fasern auch wenige dieser spezialisierten T-Lymphozyten vor, die und bei der Immunabwehr eine Rolle spielen.
F. Fibrozyten (Terminologia histologica: Fibrocyti; englisch: fibrocytes) und die stärker stoffwechselaktiven Fibroblasten (Terminologia histologica: Fibroblasti; englisch: fibroblasts) kommen normalerweise nur im die klassischen Leberläppchen umgebenden lockeren Bindegewebe vor, welches beim Menschen im Gegensatz zum Schwein nur im Falle einerLeberzirrhose die kompletten Läppchen umgibt, ansonsten auf die Portal- und Periportalfelder begrenzt ist. Lediglich nahe den Zentralvenen kommen noch einzelne wenige Fibrozyten vor.
G. Cholangiozyten (Gallengangsepithelzellen; Terminologia histologica: Cholangiocyti; englisch: cholangiocytes) sind die die Gallengänge auskleidenden isoprismatischen Epithelzellen.
H. Ovalzellen (Terminologia histologica: Cellulae ovales; englisch: oval cells) sind die Hering Kanälchen auskleidenden mit charakteristischen ovalen Zellkernen ausgestatteten Epithelzellen von geringer Differenzierung, welche als Stammzellen, angesehen werden aus denen sich sowohl Hepatozyten als auch Gallengangsepithelzellen differenzieren können.

--> Gallenkanälchen, Gallengänge & Gallenblase
--> Elektronenmikroskopischer Atlas Gesamtübersicht
--> Homepage des Workshops


* bedeutet hier wurde die Kontrastierung so modifiziert, daß die normalerweise sehr elektronendichten Glykogengranula nur sehr schwach angefärbt sind und hell erscheinen, dadurch lassen sie sich einfach von Ribosomen unterschieden.
Einige Bilder wurden von Prof. H. Wartenberg zur Verfügung gestellt; übrige Aufnahmen, Seite & Copyright H. Jastrow.