Abkürzungsliste |
Vokabular
mikros- kopische Anatomie Fachtermini Deutsch + Englisch erklärt |
Alle publizierten Inhalte wurden eingehend geprüft, dennoch wird keine Haftung für Richtigkeit und Vollständigkeit der Angaben übernommen ! |
of this page Editor:
|
Nutzungs- bedingungen |
![]() |
![]() |
![]() |
![]() |
![]() |
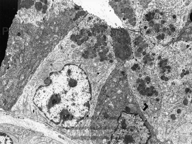
| 2 enteroendo-
krine Zellen (Affe) |
Hauptzelle am Lumen
(Schwein) |
Nebenzelle (Affe) | Belegzelle mit intrazellu-
lären Canaliculi (Schwein) |
Detail: intrazelluläres
Sekretkanälchen |
![]() |
![]() |
![]() |
![]() |
![]() |
| Belegzelle 2 (Affe) | Belegzelle 3 (Affe) | Belegzelle in Mitose
(Telophase, Affe) |
endokrine Zelle
(Ratte) |
Nebenzelle
(Ratte) |
![]() |
![]() |
![]() |
![]() |
![]() |
![]() |
| enterochromaffine Zelle 2
(Affe) |
idem 3
(Affe) |
Hauptzellen + entero-
chromaffine (Schwein) |
Lamina propria (Affe) | Magenschleimhaut REM (Ratte) | idem Detail (Ratte) |
Aufbau:
Der Magen wird ausgekleidet von einer 1-2 mm
dicken Schleimhaut (Terminologia histologica: Tunica mucosa;
englisch: mucosa, mucous membrane) mit mit bloßem Auge erkennbaren Magenschleimhautfalten
(fehlt in der Terminologia histologica, sollte: Plicae gastricae; englisch:
gastric folds heißen). Man erkennt ca. 1 - 2 mm durchmessende Felder
(Areae gastricae; beschriftete
Abbildung) zwischen denen sich dünne Gräben erstrecken in
die sich die eigentlichen Drüsen in der
Tiefe öffnen. Aber auch innerhalb der Areae erkennt
man die Drüsenöffnungen, die ca. 0,1 mm weiten, 0,2 mm tiefen Magengrübchen
(Terminologia histologica: Foveolae gastricae; englisch: gastric
pits), die sich in die überall vorhandenen langen, verzweigt schlauchartigen
(tubulösen) eigentlichen Magendrüsen fortsetzen. Die lumennahen
und in den Foveolae gelegenen Zellen sind
ganz überwiegend schleimbildende Zellen,
daneben liegen (zumindest bei der Ratte) selten einzelne
Mikrovilli
tragende Zellen, die Bürstenzellen
(fehlen in der Terminologia histologica; Vorschlag Cellulae microvillosae;
englisch: microvilli cells). Diese Zellen sollen mit ihren bürstensaumartig
angeordneten Mikrovilli Chemorezeptorfunktion
erfüllen und weisen NO-produzierende Enzymsysteme auf. Das von ihnenparakrin
sezernierte NO stimuliert die Muzin- und Bicarbonatsekretion der benachbarten
schleimbildenden Zellen.
Die schleimbildenden Zellen
(Terminologia
histologica: Mucocyti superficiei; englisch: surface mucous cells) sezernieren
neben dem in vielen Sekretvesikeln
gespeicherten Muzin 5AC-reichen Schleim
auch Bicarbonationen, die tiefer dringende Wasserstoffionen (H+)
binden.
Kardiadrüsen:
Im Bereich des 0,5 bis 1 maximal 3 cm langen Mageneingangs (Kardia)
finden sich nur die kürzesten Magendrüsen, die Kardiadrüsen
(Terminologia histologica: Glandulae cardiales gastris; englisch: cardial
gastric glands), welche über ihre gesamte Länge einheitliches
Epithel
zeigen. Dieses besitzt ganz überwiegend muköse
Kadiazellen (Terminologia histologica: Exocrinocyti cardiales; englisch:
cardial secretory cells).
Hauptdrüsen:
Hier folgt auf die Foveola eine
kurze noch hauptsächlich mit schleimbildenden
Zellen ausgekleidete Engstelle, der
Isthmus (Terminologia histologica: Isthmus; englisch: isthmus).
Auf den nur wenige Zellen breiten Isthmus folgt mit dem Auftreten der ersten
Parietalzellen
der
Drüsenhals (Terminologia histologica: Cervix; englisch:
neck) mit den nur hier (und im Isthmus vereinzelt) ausgebildeten
Nebenzellen (muköse Halszellen;
Terminologia histologica: Exocrinocyti cervicales; englisch: mucous neck
cells), die als Hauptmucin das Muzin 6
(MUC6) aufweisen.
Belegzellen (Parietalzellen;
Terminologia histologica: Exocrinocyti parietales, Exocrinocyti oxyntici;
englisch: parietal cells, oxyntic cells; beschriftete
Abbildung) zeigen als Besonderheit tiefe Invaginationen der luminalen
Zellmembran,
die als 1-2 µm weite intrazelluläre
Sekretkanälchen (Terminologia histologica: Canaliculi intracellulares;
englisch: intracellular secretory canaliculi; Abbildung)
bezeichnet werden. Belegzellen sezernieren ein Intrinsic
factor genanntes 45kDa großes Glykoprotein, das zur Resorption
des Vitamins B12 Komplexes im
Ileum essentiell
ist. Die Hauptaufgabe der Zellen ist jedoch
ist die energieaufwendige Bildung von
Salzsäure, weshalb die
Zellen in ihrem Zytoplasma sehr viele
Mitochondrien aufweisen und azidophil
sind.
Hauptzellen
(Terminologia histologica:
Exocrinocyti principales; englisch: chief cells; beschriftete
Abbildung) bilden relativ große (1-3 µm durchmessende) Zymogenvesikel
mit Pepsinogen und
die Proteinase Kathepsin. Die Zellen zeigen zahlreiche freie und
an
RER gebundene Ribosomen
und sind daher basophil. Die vielen großen Golgi-Komplexe
sind für die Bildung der je nach Fixierung mehr oder minder elektronendichten,
basophilen Sekretvesikel verantwortlich.
Ganz überwiegend am Grund der Magendrüsen finden sich
enteroendokrine
Zellen (EEZ; Terminologia histologica: Enteroendocrinocyti; englisch:
enteroendocrine cells; beschriftete Abbildung)
zumeist einzeln liegend in geringer Zahl. Diese Zellen
bilden Serotonin und Hormone, die parakrin
bzw. endokrin wirken.
Pylorusdrüsen:
Die vor dem Schließmuskel des
Magens (M. sphincter pylori) gelegene Schleimhautregion wird als Antrum
pyloricum bezeichnet und hat mittellange, stark gewundene Drüsen
(Pylorusdrüsen; Terminologia histologica: Glandulae pyloricae;
englisch: pyloric glands) mit ganz überwiegendschleimbildende
Zellen (Terminologia histologica: Mucocyti glandulorum pyloricae; englisch:
mucous cells of pyloric glands). Zwischen den Mukozyten
liegen nur nahe dem Drüsengrund auch einzelne enteroendokrine
Zellen.
weitere Schichten der Magenwand:
Unterhalb des Epithels folgt in allen
Magenbereichen eine Lamina propria
(Terminologia histologica: Lamina propria; englisch: lamina propria) aus
lockerem
Bindegewebe, dann eine
Muscularis mucosae (Terminologia histologica:
Lamina muscularis mucosae; englisch: muscularis mucosae) und eine Submukosa
(Terminologia histologica:
Tela submucosa; englisch: submucosa)
aus
lockerem Bindegewebe
mit dem Plexus submucosus (Meissner
Plexus). Die folgende dickere Muskelschicht
(Terminologia histologica:
Tunica muscularis; englisch: muscular
layer, muscular coat) zeigt sich zuerst in Form einer nicht überall
vorhandenen inneren
schräg
verlaufenden Schicht glatter Muskelzellen (Terminologia
histologica: Myocyti leves obliquii; englisch: oblique smooth muscle cells).
Es folgt eine mittlere, zirkuläre Schicht aus ringförmig
orientierten glatten Muskelzellen (Terminologia
histologica: Myocyti leves interni circulares; englisch: internal circular
smooth muscle cells), die im Bereich des Schließmuskels
besonders stark ausgeprägt ist, und nur kurz zum Durchlassen kleiner
Chymusportionen
geöffnet wird. Dann folgt der Plexus
myentericus (Auerbach Plexus) und die äußere
Muskelschicht aus längsorientierten
glatten
Muskelzellen (Terminologia histologica: Myocyti leves externi longitudinales;
englisch: external longitudinal smooth muscle cells) sowie schließlich
die Serosa (Terminologia histologica:
Tunica serosa; englisch: serosa, serous coat).
Deutlich mehr und detailliertere Informationen sowie mehr Abbildungen
finden sich in der professionellen Version
dieses Atlasses.
--> Tabelle der enteroendokrinen
Zellen
--> Speiseröhre, Duodenum,
Epithel
--> Elektronenmikroskopischer Atlas Gesamtübersicht
--> Homepage des Workshops
Einige Bilder wurden von Prof. H. Wartenberg oder
Dr. H. Jackowiak zur Verfügung gestellt, übrige Aufnahmen, Seite
& Copyright H. Jastrow.