Abkürzungsliste
Vokabular
mikros-
kopische
Anatomie
Fachtermini
Deutsch
+ Englisch
erklärt

Alle publizierten Inhalte wurden eingehend geprüft, dennoch wird keine Haftung für Richtigkeit und Vollständigkeit der Angaben übernommen !

of this page

Editor:
Dr. med.
H. Jastrow


Nutzungs-
bedingungen
Miniaturbildübersicht Kernplasma (Nucleoplasma):
Bereits bezeichnete Abbildungen lassen sich durch Anklicken des Textes aufrufen!
Zellkern eines
Lymphocyten (Ratte)
Zellkern mit Poren
Darmepithelzelle (Ratte)
Zellkern einer
Schwannschen Zelle (Affe)
Kern mit 2 Nucleoli
(Ganglienzelle, Meerschwein)
segmentierter Kern
Granulocyt (Mensch)
Kern einer Belegzelle
des Magens (Ratte)
Zellkern eines
Lymphocyten (Affe)
segmentierter Kern eines
Eosinophilen (Mensch)
charakteristische Anordnung von Eu-
chromatin im Radspeichenkern (Ratte)
anderer Radspeichenkern einer
Plasmazelle (Mensch)
Kern einer glatten Muskelzelle
(Ratte)
Hepatocytenkern Kern einer Sertoli-Zelle
Hoden (Ratte)
Sertoli-Zellen und
Spermatocyten (Ratte)
Kern einer Stachelzelle
Haut (Mensch)
Kern eines Basophilen
Milz (Ratte)
Kerne von Stäbchenzellen
der Netzhaut (Mensch)
viel Euchromatin im Kern einer
Zelle der Adenohypophyse (Ratte)
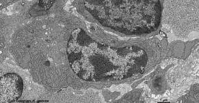
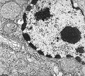
Das Kernplasma (Karyoplasma, Karyolymphe, Terminologia histologica: Nucleoplasma; englisch nucleoplasm) stellt den Inhalt der Zellkerne dar. Es besteht hauptsächlich aus Wasser und erscheint lichtmikroskopisch im ungefärbten Präparat homogen mit stellenweisen dunkleren Verdichtungen. Bei letzteren handelt es sich um Kernkörperchen (Nukleoli) oder Chromatingranula. Nach Fixierung und Färbung von Geweben verhält sich das Karyoplasma aufgrund des darin enthaltenen Chromatins basophil. Oft wird das Kernplasma stärker angefärbt als das Zytoplasma. Durch Ausfällung und Verklumpung von feinen Cromosomenfibrillen, die auch als Chromatin bezeichnet werden, lassen sich dann feinste Fäden und größere Brocken erkennen, die Chromozentren.
Die Dichte des im Karyoplasma gelegenen Chromatins hängt von der Aktivität der Zelle ab. Das Chromatin (Terminologia histologica: Chromatinum, englisch: chromatin) besteht aus Nucleoproteinen, Desoxyribonucleinsäure (DNS; englisch: desoxyribonucleic acid = DNA), Histonproteinen und Nicht-Histonproteinen sowie Zentromeren (Verknüpfungsbereiche der Arme von Chromosomen; Terminologia histologica: Centromerus; englisch: centromere). Innerhalb des Chromatins unterscheidet man hellere Regionen mit lockerem Chromatin (Euchromatin; Terminologia histologica: Euchromatinum, englisch: euchromatin) und dunklere, elektronendichtere Bereiche mit verklumptem Chromatin (Heterochromatin; Terminologia histologica: Heterochromatinum, englisch: heterochromatin). Schon lichtmikroskopisch, besonders aber im Elektronenmikroskop lassen sich im Karyoplasma das helle Euchromatin und das elektronendichtere, also dunklere Heterochromatin gut unterscheiden. Dabei gehen die Bereiche ineinander über, d.h. während längere Bereiche nicht genutzter DNS in einem Heterochromatinklümpchen an Histonproteine zusammengeballt liegen, sind funktionsrelevante Abschnitte derselben DNS im daneben liegenden Euchromatin zu finden. Dieses ist bei genauer Betrachtung auch nicht ganz homogen und wird unter Euchromatin genau beschrieben.
Bei weiblichen Individuen ist in manchen Zellkernen lichtmikroskopisch ein an der Kernmembran gelegener dunkler Fleck, das X-Chromatin (= Barr Körperchen; Terminologia histologica: Chromatinum sexuale; englisch: sexchromatin) erkennbar. Hierbei handelt es sich um ein inaktiviertes X-Chromosom.
Im "Arbeitskern" während der Interphase der Mitose befindet sich nur die genutzte Erbinformation in nicht kondensierter und gebündelter Form, sondern im Netzwerk des Euchromatins. Erst, wenn eine Mitose ausgelöst wird, verdichtet sich das Chromatin wieder in hochgeordneter, mehrfach spiralisierter Form zu den Chromosomen.

--> Zellkern, Kernmembran, Kernpore, Euchromatin, Heterochromatin, Chromosomen, Nucleolus
--> Elektronenmikroskopischer Atlas Gesamtübersicht
--> Homepage des Workshops


Drei Bilder wurden von Prof. Dr. H. Wartenberg zur Verfügung gestellt, übrige Aufnahmen, Seite & Copyright H. Jastrow.