List of abbreviations
Vocabulary
of micros-
copic
anatomy
specialist terms
explained in
English +
German

Every attempt was made to provide correct information and labelling, however any liability for eventual errors or incompleteness is rejected!

dieser Seite

Editor:
Dr. med.
H. Jastrow


Conditions
of use
Overview sublingual gland (Glandula sublingualis):
Pages with explanations are linked to the text below the images if available! (Labelling is in German)
An entire English version of this page is in preparation!
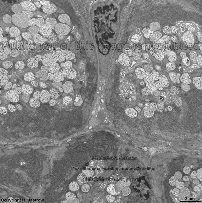
Glandula sublingualis
1 (human)
Glandula sublingualis
2 (human)
Glandula sublingualis
3 (human)
serous epithelial
cell (human)
beginning intercalated
duct (human)
mucous + serous secretion
vesicles (rat)
mucous epithelial cell
Glandula sublingualis (rat)
detail: mucous
vesicles (rat)
Die Unterzungenspeicheldrüse (Terminologia histologica: Glandula sublingualis; englisch: sublingual gland) ist eine gemischte Speicheldrüse, die wesentlich mehr muköse als seröse Epithelzellen aufweist. Das seröse Sekret ist dünnflüssiger und stammt aus elekronenmikroskopisch dunkleren (=elektronendichteren) Sekretvesikeln. Das schleimig klebrige, salz- und eiweißarme, muköse Sekret findet sich in elektronenmikroskopisch hellen (wenig elektronendichten) Vesikeln. Oft sitzen die serösen Epithelzellen als Kappen hinter mukösen und erreichen das Lumen nur über sehr feine dilatierte Interzellularräume zwischen letzteren. Diese setzen sich zum Teil als intrazelluläre Sekretkapillaren ins Innere der Zellen ein Stück weit fort (jedoch nicht so ausgeprägt wie dies in Belegzellen des Magens der Fall ist). Kappen aus mehreren serösen Zellen, die hinter mukösen sitzen, werden als von Ebnersche Halbmonde bezeichnet und kommen auch in der Unterkieferspeicheldrüse vor. Auf die im Vergleich zu rein serösen Drüsen etwas weiteren Lumina der Drüsenendstücke, die als Drüsenazini bezeichnet werden, folgen relativ kurze Schaltstücke mit flachem bis kubischem Epithel, dann die von hochprismatischen Epithelzellen ausgekleideten Streifenstücke (= intralobuläre Ausführungsgänge mit sog. basaler Streifung) und schließlich die größeren interlobulären Ausführungsgänge mit zwei bis mehrreihigem Epithel, die in feinen Öffnungen "Pünktchen" in den Mundboden münden.

--> eccrine merocrine glands, submandibular gland, parotid gland
--> Electron microscopic atlas Overview
--> Homepage of the workshop


Images, page & copyright H. Jastrow.